2025.05.04
출처
보금자리ㅣ(3)서류확인대기 (공동명의 증여계약서)
지난 보금자리 2편.. 추가서류를 납부하고 무소식... 보금자리 타임라인 여기까지가 은행콜센터 전화 완료 ...
보금자리론ㅣ(2) 해촉증명서 받기 (해촉증명서 양식 다운로드, 파일 첨부!)
보금자리 신청 1편 보금자리 타임라인 아낌e보금자리 신청 후 은행 콜센터에서 한 번 통화하고 이후에 바로...
보금자리론 퇴사 당일, 신청후기ㅣ(1)콜센터 독촉 / 대출신청가능금액초과시
소득때문에 보금자리는 꿈도 못꾸다가 남편이 갑자기 퇴사할 기회(?)가 생겨 퇴사 처리 된 날 바로 보금자...
교정일기7. 가위교합 하악 바이트 플레이트 장착함..ㅋ
어금니 가위교합 교정을 시작한지 어언 4개월이 되었다. 의사쌤이 가위교합 교정 진행이 너무 느리다며 지...
알보몬스테라와 에스쿠엘레토 근황~
올 여름 무럭무럭 자라난 우리집 정예 멤버 식물들. 알보몬스테라와 에스쿠엘레토~! 사실 이 사진도 몇달 ...
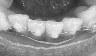
교정일기6. 가위교합 어렵다...
정기 월치료 그동안 고무줄 끊어져서 여러번 방문하긴했다. 가위 교합이라 세워지는 과정에서 아래위 치아...
[덧니 교정 일기] 5. 가위교합 교정..눈물나게 아팠던 일주일
3주만에 다시 방문한 치과 사실 그 전에 끝 어금니 브라켓이 떨어져서 완전 제거를 했었다. 하악은 적응단...
[덧니 교정 일기] 4. 하악 브라켓 부착 (쓰러진 어금니 파워체인)
2주전 tpa 부착 하고나서 거의 일주일 동안은 이가 아파서 끙끙 앓았다.. 일주일 내내 아침 저녁으로 타이...
에둘레소철 7번째 잎 (5탄)
에둘레소철 씨앗부터 발아까지 완료하고 지난 2년동안 잘 커왔는데 이번에 6번 째 잎이 나서 기록을 남기려...
[박쥐란] 리들리, 코로나리움 성장기!!
더이상 실내에 식물을 공간이 없어져서 이제는 벽에 거는 행잉으로 눈이 간지 오래.. ㅋㅋㅋ 박쥐란 리들리...