만9살 꼬마친구 퍼스트 인비절라인 치아교정시작 (feat.과개교합,공간부족 부정교합 투명교정으로 해결)

2025.05.05

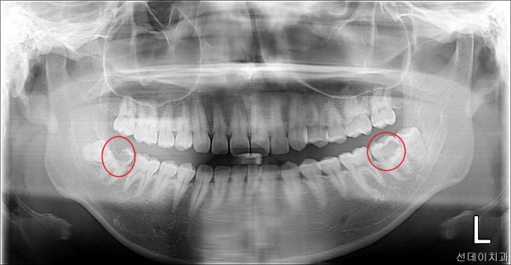
안녕하세요. 무럭무럭 성장중인 4년차 치과위생사 정쌤입니다. 요새는 교정을 한 듯 안한듯 티가 안나는 투...

관련 포스팅

Copyright blog.dowoo.me All right reserved.