2025.05.08
출처
본도시락 신메뉴 카카오 선물하기 가정의달 선물 추천 산해진미한정식
이거 하나로 품격이 다르게 본도시락 신메뉴 이번에 제대로 일낸 본도시락 어버이날 선물 하기 딱 좋은 요...
후쿠오카 여행 | #15 후쿠오카 야경 명소, 후쿠오카타워
후쿠오카타워 날이 어두워져서 이제 #후쿠오카타워 야경보러 입구로 들어갑니다 후쿠오카타워 영업시간은 ...
미라클뮤즈 팔자주름디바이스, 한화리조트 산정호수 안시에서 홈케어 체험!
요즘 너무 바쁘게 지내다가 문득 아빠 얼굴이 떠올라서 둘이 조용히 바람 쐬러 다녀왔다. 목적지 없이 찾다...
알뜰폰 유심 구매 방법과 개통순서정리
매달 고정지출로 나가는 통신비를 줄이기 위해서 알뜰폰을 찾는 사람들이 많다. 그렇지만 개통을 어떻게 하...
마카오 골프여행, 수잇수잇 캐리어 & 보스턴백으로 장만!
마카오 골프여행, 수잇수잇 캐리어 & 보스턴백으로 장만! 요즘 마카오 골프여행 준비 중인데, 짐이 은...
Cairo, Giza, Luxor, Abu Simbel, Aswan & Abydos, Dec. 15th~25th, 2023 [3rd Day] : Abydos, Dendara
이집트 여행의 셋째날이자 룩소르에서의 첫째 날이 밝았다. 이 날은 룩소르에서 당일로 다녀올 수 있는 덴...
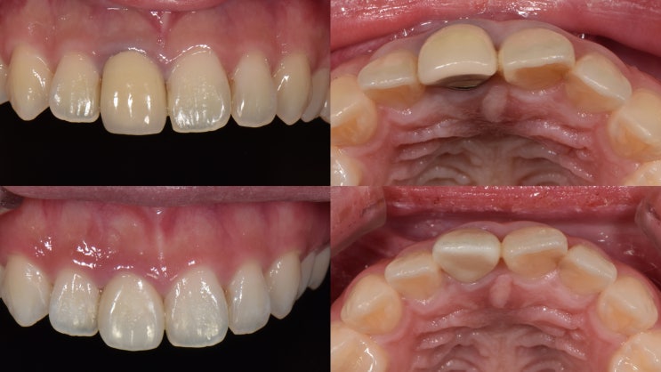
변색된 PFM 앞니 크라운 실활치 미백,전체치아 미백후 지르코니아크라운 재치료
치과의사 투쓰맨, 자주하는 앞니 크라운 재치료 방법 정리 20대 젊은 분인데, 어릴때 충치/사고등으로 부모...
알뜰폰 유심 편의점 구매 후 앱개통 절차
알뜰폰 유심 편의점 구매 후 앱개통 절차 알뜰폰 유심을 편의점에서 구매 후 어플을 다운로드해서 개통을 ...
[일본여행] 일본 후쿠오카 3박 4일 여행기 1일차(2025.05.03 토요일)
안녕하세요 아리입니다. 이번 5월 연휴 기간 동안에는 집에서 쉴 생각이었는데 주변에서 여행을 많이들 가...
후쿠오카 여행 계획 중 리얼 후쿠오카 가이드북
©글·사진 | @찹쌀언니 안녕하세요. 찹쌀언니입니다. 요즘 어디론가 훌쩍 떠나고 싶은 마음이 간질간질하지 ...