2025.05.17
출처
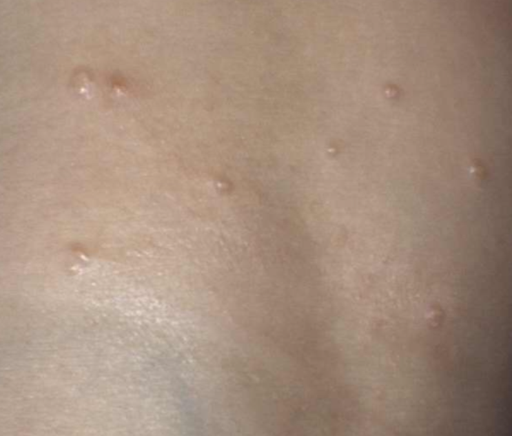
목편평사마귀 제거 율무크림 재발을 방지하기 위한 관리까지
목목편평사마귀 제거 율무크림 재발을 방지하기 위한 관리까지 처음에 점인 줄 알고 제거하러 갔는데 의문...
율무크림이 비립종을 없애주지는 않네요
비립종 원인 혹시 눈가 비립종을 보신적이 있으신가요? 자꾸 거슬리니까 짜주고 싶어서 건들고 싶다면 저는...
편평사마귀 제거 후 관리 미네랄 말고 율무크림 후기
https://blog.naver.com/whj1580/223604569043 피부과가서 얼굴전체 비립종 제거 레이저를 받은지가 벌써 ...
율무크림 말고 닥터딥 선택하고 비립종 효과 본 후기 공유 (한달과정)
율무크림 말고 닥터딥 선택하고 비립종 효과 본 후기 율무크림 말고 닥터딥 선택하고 비립종 효과 본 후기 ...
편평사마귀 제거 후 관리 율무크림 꼼꼼한 후기
안녕하세요? 지난 달 올린 편평사마귀 제거 후기가 아직도 인기글에 떠있어서 부끄럽기도 한 요즘입니다 ㅋ...
율무크림 효과 못보신 분들에게 강추하는 미네랄크림 알려드려요!
율무크림 효과 못보신 분들에게 강추하는 미네랄크림 율무크림 효과 못보신 분들에게 강추하는 미네랄크림 ...
연천카페 연천회관 빵 율무크림커피 대형 베이커리 카페 아이와
연천카페 연천회관 빵 율무크림커피 대형 베이커리 카페 아이와 안녕하세요 2박 3일의 캠핑을 끝내고 집에 ...
아기 물사마귀 예방 안심하고 사용하는 율무 크림
아기 물사마귀 예방 안심하고 사용하는 율무 크림 이제 일교차가 점점 커지는 것 같은데 빨리 선선한 가을...
편평사마귀 레이저치료 후 피부홈케어 (율무비누,크림 등)
얼마 전에 편평사마귀 레이저치료 받은 후기를 올렸었는데요! 개수는 얼굴 50개 정도로 다른 분에 비해서는...
까르띠에 탱크 머스트 [탱크 머스트 워치]
드디어 내손에 들어온 까르띠에 탱크머스트 금액 인상전에 너무 사고 싶었지만 .............................