2025.06.14
출처
강아지 심장약을 평생 먹어야 하는 이유 / 반려견 폐수종 증상, 치료 후기 / 애완견 기침하면 동물병원에 가야 하는 이유 / 강아지 심장약 복용 간격, 시간
안녕하세요~ 굿파파 수의사입니다. 서울은 벚꽃이 만개하였네요~ 운전하면서 벚꽃 구경하고 하루를 시작합...
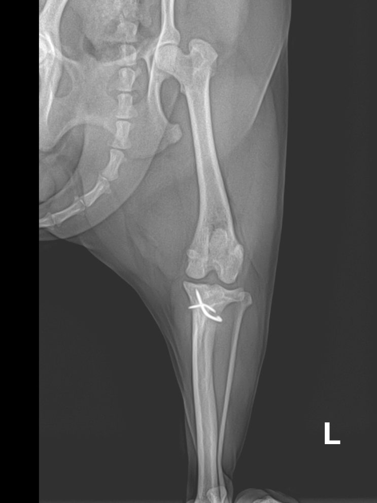
1살 포메라니안 강아지 양측 슬개골 탈구 수술 후기 / 반려견 양측 슬개골탈구 수술 후 주의점 / 어린 강아지 무릎 수술 꼭 해야 할까요? / 애완견 슬개골 탈구 전문 동물병원
안녕하세요~ 굿파파 수의사입니다. 오늘부터 따뜻한 봄기운이 느껴지네요~ 행복한 미소 가득한 하루 보내세...
7살 말티즈 강아지 슬개골 탈구 수술 후기 / 반려견 슬개골탈구 수술 후 주의 사항 / 애완견 슬개골 탈구 가장 좋은 수술 방법은? / 강아지 관절 주사 전문 동물병원
안녕하세요~ 굿파파 수의사입니다. 개나리가 예쁘게 피었네요~ 행복한 봄 ~ 즐거운 하루 보내세요~ 오늘의 ...
4살 말티즈 강아지 슬개골 탈구 수술 후기 / 반려견 슬개골탈구 수술 중 가장 방법은? / 애완견 뒷다리를 들고 걷는 원인, 이유 / 애견 슬개골탈구 수술 가격, 비용 안내
안녕하세요~ 굿파파 수의사입니다. 비가 오는 토요일이네요~ 벚꽃이 만개하고 있네요~^^* 비가 멈추면 벚꽃...
1살 푸들 강아지 슬개골 탈구 수술 후기 / 반려견 슬개골 외측 인대 파열 수술 가격, 비용 / 강아지 뒷다리를 들고 걷는 이유 / 애완견 무릎 수술 전문 24시 동물병원
안녕하세요~ 굿파파 수의사입니다. 내일은 식목일이네요^^* 주말에 가족과 함께 나무 심는 시간을 갖는 건 ...
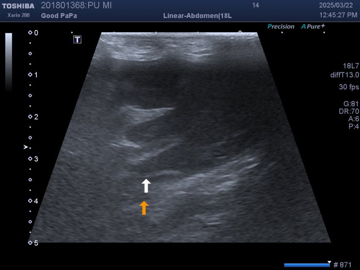
14살 요크셔테리어 강아지 췌장염 치료 후기 / 노령견 췌장염 후유증, 관리 / 반려견 췌장염 증상? 원인? / 애완견 급성 췌장염 입원 기간은.?
안녕하세요~ 굿파파 수의사입니다. 벌써 오후 시간이 되었네요~ 하루하루가 너무 빠르게 지나가네요 오늘도...
고양이 귀 종양 제거 수술 / 고양이 전이도 적출술 후기 / 고양이 귀 수술 후유증 / 냥이 TECA 수술 후 관리법 / 고양이 만성 외이염 중이염 수술 잘 하는 동물병원
안녕하세요~ 굿파파 수의사입니다. 이제 서울에도 조금씩 벚꽃이 피기 시작했네요~ 따뜻한 커피 한 잔과 함...
10살 푸들 강아지 슬개골 탈구 내과적 관리법 / 반려견 슬개골탈구 수술없이 관절 주사 치료 / 노령견 무릎 주사 잘하는 동물병원 / 강아지 줄기세포 관절 주사 잘 하는 수의사
안녕하세요~ 굿파파 수의사입니다. 다시 봄 날씨로 기온이 올라오네요~ 오늘도 봄 기운을 느끼시고 행복한 ...
평창 아이들과 갈만한곳~~휘닉스파크 상상놀이터에서 신나게놀아요
휘닉스파크 평창 -상상놀이터- 휘닉스파크에 상상놀이터가 있는지 이제서야 알다니~~~~ㅋㅋㅋㅋ 봄시즌을 ...
평창 : 휘닉스파크 평창 그린동
저번 주말에는 평창을 다녀왔다. 휘닉스파크 그린동! 휘팍은 당일 12시에 모바일 체크인을 할 수 있는데 난...