2025.06.14
출처
10살 말티즈 강아지 만성 외이염 수술 / 반려견 전이도 적출술 후유증, 관리법 / 애완견 귀에서 고름이 나오는 이유 / 강아지 재발성 외이염 관리, 귀청소 주기
안녕하세요~ 굿파파 수의사입니다. 날씨가 너무 좋은 하루네요~^^* 커피 한 잔과 함께 행복한 오후 보내세...
15살 푸들 강아지 심장병 & 만성 신부전 관리 1 년 후기 / 노령견 만성신부전증 증상, 치료, 관리법 / 반려견 심장병 관리 전문 동물병원 / 애완견 심장병 증상, 치료 전문
안녕하세요~ 굿파파 수의사입니다. 오늘부터 날씨가 더워지고 수요일에는 여름 날씨가 느껴진다고 합니다. ...
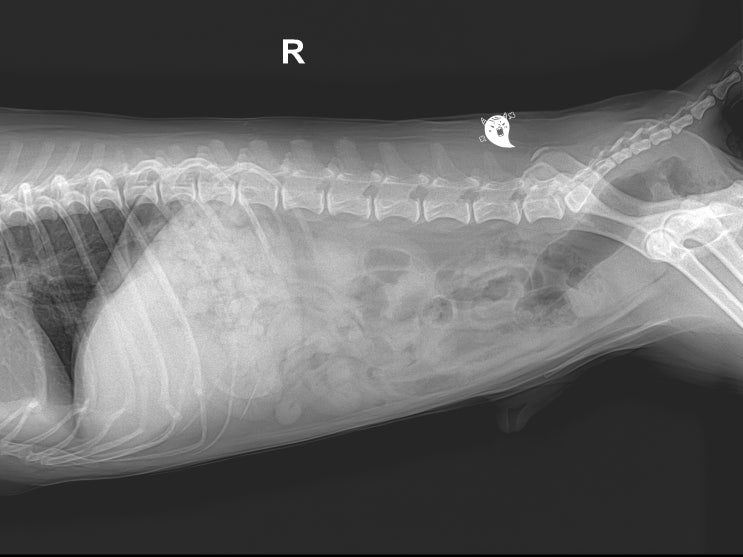
18살 고양이 호흡 이상, 곤란한 이유 / 노령묘 흉수 원인, 치료, 관리법 / 고양이 식욕 감소, 호흡수가 빠른 이유는? / 고양이 유미흉 엑스레이, 치료, 관리하는 방법
안녕하세요~ 굿파파 수의사입니다. 벌써 4 월의 마지막 일요일입니다. 행복한 미소 가득한 하루 보내세요 ...
15살 포메라니안 강아지 만성 신부전 말기 합병증, 증상, 관리 / 반려견 빈혈 치료 후기 / 노령견 만성 신부전증 빈혈 주사 치료 / 애완견 빈혈 호르몬 주사와 관리법
안녕하세요~ 굿파파 수의사입니다. 4월의 마지막 금요일이네요~ 더 행복한 하루 보내시기를 기도드립니다. ...
2살 포메라니안 강아지 슬개골 탈구 2 기 수술 후기 / 반려견 슬개골 탈구 수술 후 주의사항 / 애완견 줄기세포 관절 주사 치료 / 강아지 슬개골탈구 증상, 원인, 치료법
안녕하세요~ 굿파파 수의사입니다. 날씨가 너무 좋아서 나들이 가고 싶은 하루네요 오늘도 행복한 미소 가...
평창 휘닉스파크 식당 가족외식 하기 딱 좋은 평창한우다래
본 포스팅은 소정의 원고료를 받아 작성되었습니다. 모처럼 가족나들이를 하기 위해 휘닉스파크에 들러 재...
[휘닉스 파크] 평창 애견동반숙소 반려견동반 강아지동반호텔 콘도추천 휘닉스파크 평창 캠핑 BBQ 글램핑
안녕하세요! 평창 휘닉스파크 휘닉스 파크 평창 반려견 동반 호텔 반려견동반 숙소 추천 드리는 휘닉스 파...
14살 푸들 강아지 질 분비물이 나오는 이유 / 반려견 질 주변 염증 원인 / 중성화한 암컷 강아지가 질에서 고름이 나오는 이유 / 노령견 질염 치료 방법, 비용, 가격
안녕하세요~ 굿파파 수의사입니다. 비가 아침부터 계속 내리는 하루네요~ 따뜻한 커피 한 잔과 함께 행복한...
강아지 슬개골 탈구 4 기 수술 8개월 전후 비교 / 반려견 고관절 아탈구 수술 / 애완견 골반 수술 & 슬개골 수술 후유증? / 어린 강아지 무릎 수술 & 관절 주사 치료
안녕하세요~ 굿파파 수의사입니다. 오늘은 여름이 느껴지는 오후네요~ 시원한 커피 한 잔과 함께 ~ 행복한 ...
강아지 디스크 침 치료, 레이저 재활 치료 / 반려견 뒷다리에 힘 빠짐, 풀림 / 노령견 허리디스크 전기침 치료 / 애완견 디스크 원인, 초기 증상 / 강아지 침치료 가격, 부작용
안녕하세요~ 굿파파 수의사입니다. 행복한 일요일입니다.^^* 가족과 함께 즐거운 시간 보내세요 오늘의 포...