2025.06.14
출처
용인 출장뷔페 부페마트와 함께라면 웃음꽃 피어나는 시간으로
안녕하세요. 인천 출장뷔페 전문 업체 부페마트입니다. 부페마트는 팔순잔치부터 돌잔치까지 다양한 곳에서...
대구 상견례 선물 추천 화과자 선물세트 우아미 화과자
대구 화과자 선물세트로 유명한 우아미 화과자에서 어머님께 드릴 이쁜 화과자 선물세트 구입했어요 평소에...
양키캔들 기술 그대로 아로마엣세 대용량 디퓨저 솔직 후기
요즘은 향기로 집 분위기를 바꾸는 분들이 정말 많은데요. 저도 은은하면서 오래가는 향을 찾다가 아로마엣...
[보도자료] 농심, '글로벌 수출물류기지' 울산삼남물류센터 기공
농심, '글로벌 수출물류기지' 울산삼남물류센터 기공 - 2027년 상반기 완공 예정 - - 지역주민 ...
욕실 미끄럼방지 매트 대신에 논슬립 코팅
이 글은 업체로부터 소정의 원고료를 지급받고 작성된 글입니다. 노인분들의 경우 젊으셨을 적과는 달리 신...
밥도둑 스팸 감자짜글이 레시피 고추장 짜글이찌개
안녕하세요. 열려라쿡입니다. 오늘은 스팸을 활용해 간단하게 만들어 본 저녁메뉴 스팸 감자짜글이를 소개 ...
여아머리핀 맛집 몬츄 아기핀 똑딱핀 똑딱이핀
여아머리핀 맛집 몬츄 아기핀 똑딱핀 똑딱이핀 #몬츄 Blog Writer. 밍미 어린이집에 다니고 있는 19개월 ...
롯데시네마 수지에서 아마데우스 오리지널 리마스터링 관람 후기
보고싶었던 영화 아마데우스 보고 왔습니다. 이영화는 제가 극장에서 본 첫영화에요. 그래서 그런지 장면장...
트러플오일 활용 소스-세 번째(트러플 오일 간장 소스), 51kcal(1회분/회당 30g 기준)
트러플오일 활용 소스 만들기 세 번째로 오늘 소개할 소스는 간장 향 가득한 트러플 오일 간장 소스입니다....
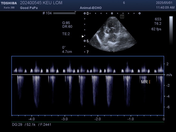
심장병 있는 강아지 이뇨제를 먹어야 하나요/ 반려견 울혈성 심부전은 어떻게 알 수 있나요 / 강아지 심장병 단계가 중요한가요 / ACVIM 미국 심장 수의내과학회 가이드라인 5단계
안녕하세요~ 굿파파 수의사입니다. 날씨가 이제 여름이네요~ 올해 윤달이 여름이라 ~ 더위가 길다고 합니다...