2025.06.19
출처
A형 독감 증상 및 대처 방법 알려드려요
A헝 독감 증상 및 대처 방법 알려드려요 흔히 독감이라고 하면 심한 감기 몸살로 생각하실 텐데요, 이 둘...
성인여드름피부과 한방진료 수면 부족에 따른 유형
성인여드름피부과 한방진료 수면 부족에 따른 유형 우리는 수면을 통해 생각을 정리하고, 손상된 인체 기능...
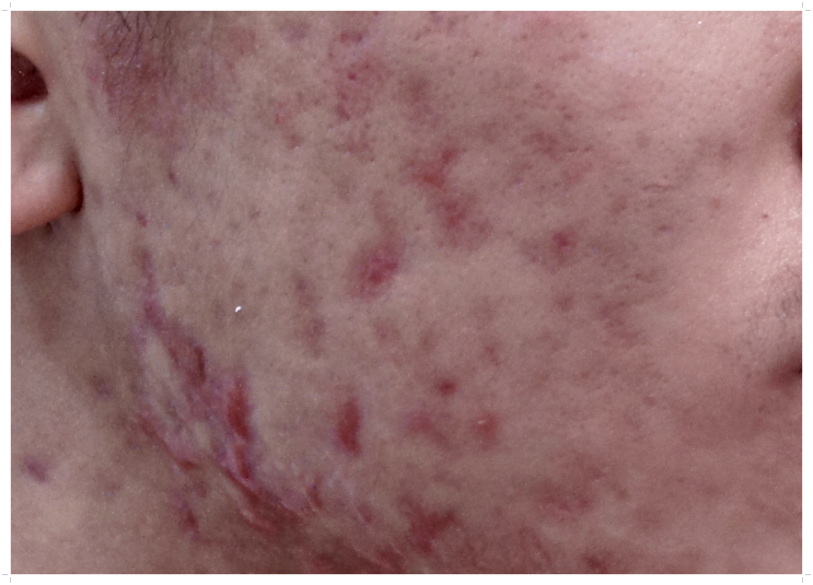
노원피부한의원 한의학 시점에서 따져보자면
노원피부한의원 한의학 시점에서 따져보자면 미용시술 받을 시 제일 걱정하는 것은 예후 즉 효과가 어떨지...
피부건선 치료 원인부터 알아야 진행 가능해요
피부건선 치료 원인부터 알아야 진행 가능해요 질벼을 치료하는데 있어서 병리파악이 가장 중요하단 것을 ...
강아지 오렌지 먹어도 될까? 주스 껍질 주의사항
강아지 오렌지 먹어도 될까? 주스·껍질 주의사항 한눈에 정리 처음 반려견 ‘감자'를 가족으로 맞이했...
목감기 빨리 낫는 법 환절기 건강 가이드
목감기 빨리 낫는 법 환절기 건강 가이드 요즘 가만 보면 날씨가 자기 멋대로 인 것 같다는 생각이 드는데...
부천 신중동카페 디저트 맛집 띵크프룻
부천 신중동카페 중에 디저트 수플레 가장 맛있는 집! 이름처럼 과일로 만든 수플레와 음료들이 아주 맛있...
시금치 효능 슈퍼 푸드로 인정받는 이유
시금치 효능 슈퍼 푸드로 인정받는 이유 제가 유년기 시절을 보냈던 당시에 인기 절정인 만화가 있었는데요...
성인 여드름 한의원 일상 내 관리가 선행되어야
성인 여드름 한의원 일상 내 관리가 선행되어야 사회생활이 한창인 20~40대 성인분들을 보면 내 몸 하나 보...
소화 안될때 음식 무엇을 곁들이면 좋을까?
소화 안될때 음식 무엇을 곁들이면 좋을까? 카페인 함량이 높은 음식이나 기름진 요리처럼 요즘 우리가 즐...