2025.07.01
출처
여권 재발급 온라인 신청방법 소요기간 여권 수령
안녕하세요 이번에 여권을 새로 재발급 받았어요! 사실 남은 기간은 8개월 정도로 기간이 조금 남아있었는...
임신 12주 ~ 13주) 태아보험, 성별 추측, 군산 여행, 아기방 만들기
포스팅하면서 기록을 깜박했는데 태리는 11주에 태아보험 삼성화재 다이렉트 무려 1만 원대로,, 들었다 실...
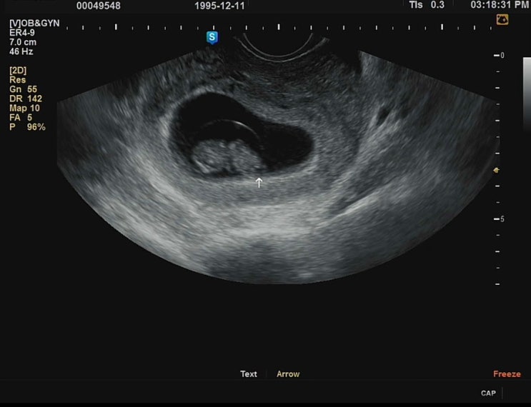
임신 12주) 1차 기형아 선별 검사, 각도법 성별 유추
사실은 11주 6일에 진행한 1차 기형아 선별 검사인데 어차피 하루 차이니까 편의상 12주라고 하겠다! 12주...
임신 10주 ~ 11주) 먹고 자고 힘들어하는 일상
임신 10주 차 증상 - 밤에 오한 사라짐 - 컨디션 전보다 좋아졌지만 무기력함 지속 - 소화불량 여전히 입맛...
[이탈리아 피렌체] 티본스테이크 맛집 Osteria Vecchio Cancello 오스테리아 베치노 칸셀로 현지인 맛집
Osteria Vecchio Cancello ✔️ 영업시간 : 12:00 ~ 14:00 / 17:00 ~ 22:00 화요일 휴무 ✔️ 주소 : V...
[이탈리아 피렌체] 우피치 미술관 무료입장 및 마이리얼트립 투어 후기
이탈리아 피렌체에서 꼭 가봐야 할 곳 중 하나는 우피치 미술관이에요! 우피치 미술관은 매달 첫째 주 일요...
[이탈리아 피렌체] 피렌체 가볼 만한 곳 베키오 다리
피렌체에서 꼭 가볼 만한 곳 베키오 다리입니다 다리 위에 집들과 상점이 있고 일몰 명소로 유명한 곳이에...
임신 8주 ~ 9주) 임신 증상, 조리원 계약, 임산부 음식, 젤리곰
임신 8주 증상 - 기초체온 증가 - 저녁만 되면 몸살 기운&열나는 느낌 (아침만 되면 멀쩡해짐) - 저녁...
[이탈리아 피렌체] 매운 음식 땡길때 Capitale della Cina 중식당 맛집
Capitale della Cina ✔️ 영업시간 : 11:00 ~ 22:30 / 브레이크 타임 15:00 ~ 17:00 / 매주 화요일 휴무...
임신 7주) 친정 시댁 임밍아웃, 입덧
#임신7주차 임밍아웃을 보통 언제 할지 고민을 많이 하는데 지인들한텐 보통 12주차 ~ 넘어서 알리는 듯 가...