2025.07.05
출처
2024년 3월.
3월 첫째주. 입덧이 끝나면 젤 하고싶었던 것 =부산 내려가서 먹고싶었던 것 왕창먹기 차를 오래 못...
2024년 2월.
3월말 1월 일기를 끝내고 바로 쓰는 2월의 일기. 단단히 맥모닝에 빠져있던 2월 아침마다 매일매일 맥모닝...
2024년 1월.
밀려버린 2024년 일기 3월이 지나가는중에 쓰기 시작! 11월 임신을 알게됨과 동시에 시작한 입덧으로 1월까...
뉴욕여행|6박 8일 뉴욕여행 6-7일차| 써밋전망대, 소호, 뉴욕치즈케이크, 토니버거, 뉴욕 해리포터, 브루클린 줄리아나스 피자, 브루클린 야경, 소소한 뉴욕 쇼핑, JFK 공항
2023.06.10~2023.06.17 New Your City 율동쀼의 6박 8일 뉴욕여행 뉴욕여행 6일차, 7일차 일정 New Yo...
뉴욕|Eileen's special cheesecake, 소호 뉴욕치즈케이크 맛집, 백종원 스트리트푸드파이터 치즈케이크, 에일린 스페셜 치즈케이크
디저트를 그렇게 좋아하지 않는데 1개를 뚝딱 먹어버렸던 배불러서 1개만 먹었던게 아쉬운 너무 유명하고 ...
이재모피자 부산역점|임실치즈가 가득한 피자맛집, 인생피자, 이재모피자 주차, 대기, 매장식사, 포장
부산이 고향인 나는 학창시절부터 남포동에가면 꼭 가던 피자집이 있었다. 그때도 대기가 있었지만 요즘에...
속시원한 대구탕|수많은 부산 속시원한 대구탕 속의 진짜 원조 달맞이 대구탕, 대구탕 단일메뉴
부산에 내려오면 많이 볼 수 있는 간판 속시원한 대구탕 부산 곳곳에도 같은 상표의 이름이 많이 있고, 미...
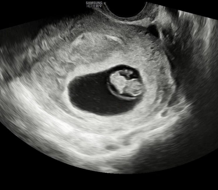
임신일기#3. 임신 11주차~임신16주차까지|태아보험 가입, 1-2차 혈액 기형아검사, 12주 정밀초음파, 입덧수액,16주 아기성별확인, 아인병원 기형아검사 결과확인
임신 11주 - 16주의 기록 임신 11주차 입덧이 여기서 더 심해질수 있나 싶었는데 더 심해짐 물 한모금 삼키...
임신일기| 아이폰 에어팟 실시간듣기 아기 심장소리듣기, 임신 15주 성공
신기한 기능을 발견해서 써보는 아이폰+에어팟 실시간듣기로 아기 심장소리 듣기! 임신초기 에어팟으로 아...
임신일기#2. 임신 5주차~임신10주차까지|첫 심장소리, 임신주수&예정일확정, 국민행복카드발급, 8주 젤리곰 확인, 산후조리원예약, 10주차 진료
임신 5주차부터 10주차까지의 일기 입덧때매 중간중간 병원간 기록도 제대로 못했지만 .. 임신 5주차 첫 아...