2025.07.07
출처
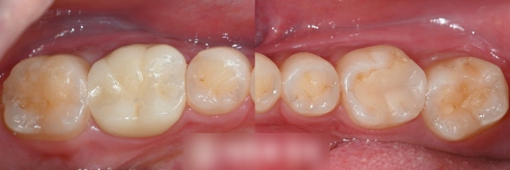
신촌치과 골드 인레이 하방에 진행된 치아 충치, 레진, 이맥스 인레이, MTA tomy 지르코니아 크라운
안녕하십니까! 대표원장 조민기입니다. 치아 충치는 겉면은 선이나 점으로 보여도 안쪽으로 충치가 깊게 퍼...
오래된 아말감 충치, 수은, 변색이 걱정된다면? 레진 인레이로 개선 +치경부마모증 치료방법은? 서대문치과에서 알려드립니다
안녕하세요, 대표원장 조민기입니다. 어렸을 때 90년대생까지는 충치치료를 받았던 분들이라면 아말감이라...
신촌이하루치과 씹을 때마다 있는 치아 통증 치조골이 부족할 때는? 뼈이식을 동반한 발치 후 임플란트 식립
안녕하세요! 대표원장 조민기입니다. 우리는 이가 결손되면 1) 임플란트(implant) 2) 브릿지(bridge) 3) 틀...
신촌 치과 임플란트 개선은 어떻게 진행될까?
안녕하십니까, 조민기 원장입니다. 오늘은 임플란트 개선 과정을 알아보겠습니다. 먼저 관련 사진을 살펴보...
교정 후 치석 제거 스케일링, 충치 레진, 치경부 마모증, 인레이, 크라운 치료 신촌 치과
안녕하십니까, 조민기 원장입니다. 많은 분들께서 구강 진료가 완료되었다면 이제는 문제가 안 생길 것이다...
이대 치과 20대 임플란트 잇몸뼈가 없다면?
안녕하십니까, 대표원장 조민기입니다. 예기치 못한 상황은 언제, 어디서나, 마주할 수 있습니다. 어느 날 ...
꾸준한 검진의 중요성 신경치료와 매복치 발치 신촌역치과
안녕하세요. 대표원장 조민기입니다. 오늘은 꾸준한 검진을 통해서 신경치료와 매복치 발치하는 것에 대해 ...
하루에 담배 10개비 핀다면? 구강 질환 어떻게 해결하고 치료할 수 있을까? 임플란트 신촌 사랑니 치과
안녕하십니까, 대표원장 조민기입니다. 오늘은 하루에 담배를 10개비 피는 분들을 위한 임플란트 치료 과정...
잇몸 출혈, 치아 충치, 균열, 통증, 재신경치료, 인레이, 레진 수복 홍대입구역 치과
안녕하십니까, 대표원장 조민기입니다. 오늘은 잇몸 출혈, 치아 충치, 균열, 통증 등으로 재신경치료, 레진...
한일병원 어린이 그림공모전
한일병원, '2025 어린이 그림 공모전' 성료 지역사회와 소통하는 문화 공간 지향 [건강보험저널]...