2025.07.07
출처
신촌치과 스케일링의 중요성 전체 치아 발치 후 전악 임플란트 수술
안녕하세요! 닥터 조민기입니다. 오늘은 스케일링과 정기 검진의 중요성에 대해 알려드리겠습니다. 먼저 관...
신촌역 치과 오래된 아말감 치아 2차 충치 개선과 유지장치(픽스드) 끊어짐 인레이, 크라운, 레진 치료
안녕하세요. 조민기입니다. 이제 올해 마지막 달만 남았습니다. 여러분들께서는 올해 초 목표했던 것들은 ...
신촌 치과 심한 이갈이 치아 파절, 치경부 마모증 치료 크라운 인레이 제작 과정, 본드필
안녕하세요! 대표원장 조민기입니다. 오늘은 심한 이갈이(tooth grinding)로 인한 치아 파절, 치경부 마모...
서울 이하루치과 심한 치아 충치 치료 MTA pulpotomy 후 신경치료 / 인레이 및 크라운 수복
안녕하십니까, 대표원장 조민기입니다. 자연치를 최대한 살리기 위한 방법 중 MTA pulpotomy가 있습니다...
오래된 아말감 제거, 어금니 충치, 치아 보철 깨짐 크라운, 인레이 재제작 서대문역 치과
안녕하십니까, 대표원장 조민기입니다. 오늘은 오래된 아말감 제거, 어금니 충치, 치아 보철 깨짐 에 대해 ...
서대문 치과 치아 깨짐, 보철 속 충치 확인, 잇몸 고름주머니 임플란트 수술 및 크라운 재제작, 인레이 수복
안녕하세요, 대표원장 조민기입니다. 오늘은 보철 속 충치 로 인해 잇몸 고름주머니가 확인되어 임플란트 ...
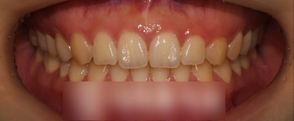
치아교정(orthodontics) 치료 후 나타난 앞니 충치 심미 앞니 수복 신촌 치과
안녕하십니까, 대표원장 조민기입니다. orthodontics이 끝난 뒤, 브라켓을 제거하기에 관리가 훨씬 쉬워지...
스케일링 후 치아미백을 하는 이유는? 시린 이 과민 완화제란? 신촌치과에서 알려드립니다
안녕하십니까, 조민기 원장입니다. 많은 분들께서 미백을 하면 얼마나 밝아질까? 미백 후 음식은 어떻게 해...
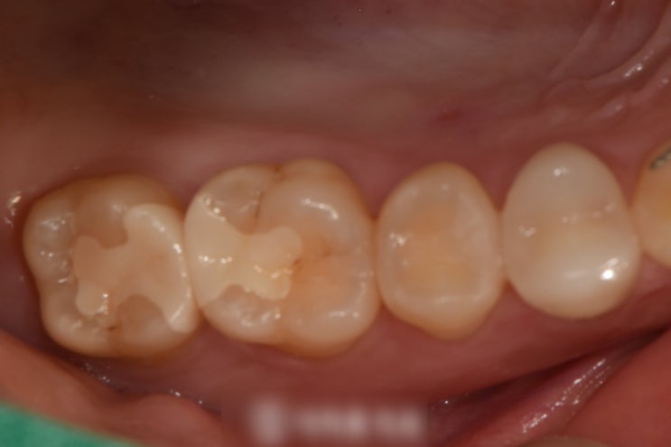
왼쪽 아래 어금니 치아 통증 구강 검진 후 레진, 인레이 수복 치료 신촌 치과
안녕하십니까, 대표원장 조민기입니다. 치아 통증(치통)의 흔한 원인은 충치, 치수염, 치아근첨주위농양, ...
신촌 치과 이갈이, 치아 뿌리 끝 염증 통증이 있는데 교정 중이라면? 임플란트 수술과 나이트 가이드 제작
안녕하세요~ 조민기 원장입니다. 이 질문을 제가 최근에 발견해 이와 관련한 설명을 드리려고 합니다. 우선...