2025.07.16
출처
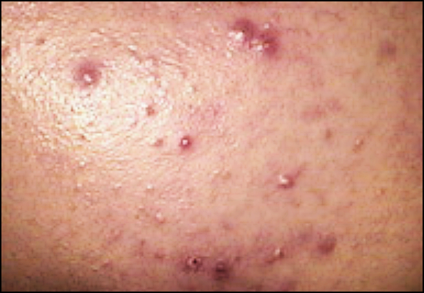
한포진 수포 문제 효과적인 관리방법 공유
** 소정의 고료를 제공받아 작성된 솔직한 후기로, 정보가 필요하신 분들께 도움이 되었으면 합니다. ** 안...
《내 인생의 해답》 블로그 쓰기 귀찮은 날 펼쳐본 책의 운명
오늘은 무슨 책을 소개할까 고민 하다가... 블로그 쓰기 귀찮은 마음을 '운명'에 맡겨봤습니다. ...
지루성피부염 병원치료 없이 홈케어로 치료한 후기
지루성피부염 병원치료 없이 홈케어로 치료한 후기 지루성피부염 병원치료 없이 홈케어로 치료한 후기 지루...
붉은반점가려움 원인 율무 홈케어 관리 후기
** 소정의 고료를 제공받아 작성된 솔직한 후기로, 정보가 필요하신 분들께 도움이 되었으면 합니다. ** 얼...
한관종 제거 관리 홈케어로 관리한 후기
한관종 제거 관리 홈케어로 관리한 후기 한관종 제거 관리 홈케어로 관리한 후기 한관종 제거 관리 홈케어...
모낭염 증상 치료 홈케어로 해결본 후기!
모낭염 증상 치료 홈케어로 해결본 후기! 모낭염 증상 치료 홈케어로 해결본 후기! 모낭염 증상 치료 홈케...
무당신박사에서의 특별한 만남 찐 후기 :) 용인에서 찾은 내 인생의 해답
오늘은 정말 특별한 이야기를 들려드리려고 해요 최근에 고민이 너무 많아서 마음이 복잡했는데 친구가 용...
피부 건조증 증상 연고 대신 율무로 극복한 후기
피부 건조증 증상 연고 대신 율무로 극복한 후기 피부 건조증 증상 연고 대신 율무로 극복한 후기 피부 건...
아토피 피부염 증상 간편하게 케어 해요
아토피 피부염 증상 간편하게 케어 해요 아토피 피부염 증상 간편하게 케어 해요 아토피 피부염 증상 간편...
편평사마귀치료 재발까지 고려한 관리방법 공유
** 소정의 고료를 제공받아 작성된 솔직한 후기로, 정보가 필요하신 분들께 도움이 되었으면 합니다. ** 어...