2025.07.20
출처
판교 현백 아미(ami) 가디건 구매!
HSK 5급 223점 달성 기념으로 나에게 주는 선물을 사주러 집에서 가까운 판교현백 방문 ㅋㅋ 여기저기 ...
아이패드를 활용한 HSK 5급 독학 공부법! (핵꿀팁 모음!!!!)
중국어는 병음을 모르면 사전찾기가 까다롭기 때문에, 태블릿 피시를 사용해서 공부하는것이 젤 효율적이다...
직장인 HSK 5급 독학 합격 후기! (210점 넘기기)
난 생명과학 전공자고 중국어 기초도 없었지만, 교환학생 한학기 다녀와서 욕심에 첫 HSK 시험에 5급을 ...
탈모치료기 헤어그로우(Hair grow) 효과 있을까? 사용 후기. (feat.쉐딩현상)
엑소좀 연구를 하면서 탈모에도 관심이 많이 생겼는데 이게 관심을 넘어 걱정으로 변함.. 지루성 두피염도 ...
[논문 리뷰] 엑소좀 생산량을 높이려면 어떻게 해야할까? / part2
PAHs increase the production of extracellular vesicles both in vitro in endothelial cells and in ...
워커힐 비스타 호캉스~~ feat.멕시칼리 피쉬타코
지인분이 숙박권을 주셔가지고 주말에 공자로 워커힐 비스타에서 호캉스를 하게됨 ㅎㅎ 넘 감사 ㅠㅠ 광진...
[논문 리뷰] 엑소좀의 생산량을 높이려면 어떻게 해야할까?
Simultaneous inhibition of Glycolysis and oxidative phosphorylation triggers a Multi- fold increa...
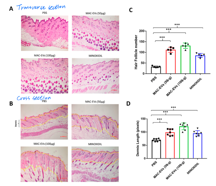
[논문 리뷰] 엑소좀과 탈모의 연관성 #2
Macrophage-Derived extracellular vesicle promotes Hair Growth Introduction 저번에 DP의 엑소좀...
[논문 리뷰] 엑소좀과 탈모의 연관성
Dermal exosomes containing miR-218-5p promote hair regeneration by regulating β-catenin signaling...
여에스더 올리브영 영양제 추천템 국민영양제(멀티비타민, 어린콜라겐레티놀A, 유산균 화이트)
여에스더 국민영양제 영양제는 꼬박 꼬박 챙겨 먹는 나^^,,, 30대가 시작되면서 확실히 영양제를 챙겨 먹기...