2025.07.27
출처
임신 6개월 7개월 정밀 초음파/임당 검사 통과
임신 중기 6개월 7개월 #정밀초음파 #임당 벌써 두콩이가 생긴지 7개월~~ 초기에는 시간이 너무 안 간다 싶...
드디어 성별확인/임신 5개월 6개월 태동
#성별확인 #태동 저번 검진에 성별을 못 보고 와서 3주 만에 또 병원에 갔다 이번에는 꼭 확인해야된당 다...
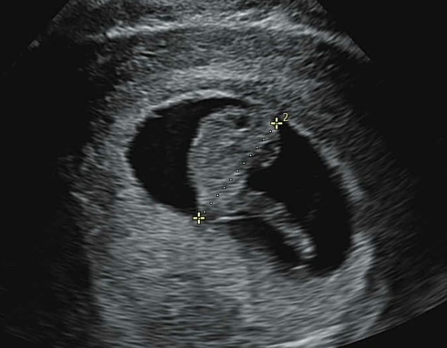
12주 16주 1차 2차 기형아 검사 결과 / 성별확인 실패
벌써 두콩이가 16주가 넘어서 드디어 성별!! 그리구 기형아 검사를 완료했다 ㅎㅎ 12주차 1차 기형아 검사 ...
임신 초기 5주차 6주차 8주차 증상 허니문 베이비
임신 초기 5주차 6주차 8주차 신혼여행!! 다녀와서부터 몸이 이상했다 사실 가기 전에 감기가 걸려서 가고 ...
부산 여행 2박 3일 - 감천문화마을 흰여울문화마을 라이언 홀리데이 산리오 러버스 클럽 용궁사
이번 여름휴가는 부산!! 절뚝이 남편과 임산부 그리고 짐꾼 겸 보호자 겸 도우미 잡일꾼 동생과 함께 떠나...
2025년 여름휴가 안내
안녕하세요:) 감각적인 러그와 홈 패브릭을 전해드리는 러그홈입니다. 다가오는 여름휴가 일정을 아래와 같...
100만 포인트 고밀도 고급 빈티지 카페트 샤론
단 하나로 공간이 달라질 수 있을까요? 그 대답은 이 카페트를 깔아보면 바로 알게 됩니다. 안녕하세요^.^ ...
현관과 건식욕실에 감성을.. 면 발매트 & 소형러그
하루의 시작과 끝을 마주하는 현관. 그리고 휴식과 회복의 공간 건식 욕실. 이 소중한 두 공간을 감각적으...
전통주선물 은은한 사과향의 증류주 실속있는 선물로 좋은 문경바람 선물세트
전통주선물 은은한 사과향의 증류주 실속있는 선물로 좋은 문경바람 선물세트 1.언박싱, 제품구성 전통주선...
감각적인 우리 집, 고급 패턴 논슬립 발매트
안녕하세요:) 요즘같이 깔끔하고 세련된 인테리어가 대세인 시대, 집 안 분위기를 한층 업그레이드해줄 감...