2025.07.30
출처
캐논 파워샷 V1 : 아기사진, 육아사진 + 영상 촬영용 카메라 오프라인 구매 (캐논스토어 서울역점)
안녕하세요! 저는 36주차 막달에 접어든 임산부에요. 요즘들어서 아기맞이 준비에 정신 없이 바쁜 나날을 ...
25주차 2일 : 임당검사, 입체초음파 (얼굴은 대체 언제 보여줄거니?), 배나오기 시작, 종합병원(분만병원) 전원
시간은 왜이렇게 빨리 흐르는 걸까요? 아기의 성별을 알고 난 이후로는 시간이 슝슝 날아가고 있어요. 정신...
출산준비물 : 육아용품 아기용품 핫딜가 정리 (미리 준비하면 좋은 물품들)
출산준비는 제 2의 웨딩준비라는 말이 나올 정도로 이것저것 준비해야 하는 물품들이 많은데요. 어른들이 ...
21주 2일 : 정밀초음파, 입체초음파, 열달후에 수치, 복부둘레 큰/작은 아기
21주차에는 정밀초음파가 있었어요. 제가 다니는 병원은 이렇게 정밀 초음파를 책자로 만들어서 주셨어요. ...
16주 4일 : 첫 태동의 날, 초산모 첫 태동 느낌, 태동 빈도수, 태동 시간
첫 태동 기나긴 임신 기간 중 임신 초기에 가장 궁금했던 것이 성별이었다면 임신 중기에 가장 궁금했던 것...
아들증상/아들맘이 느낀 임신중 아들임을 예감하게 만든 증상 (+속설들)
태몽 (뱀태몽) 각도법 심장소리(말발굽vs기차) 각종 테스트 (난황위치, 중국황실달력) 땡기는 음식 (과일vs...
16주 3일 : 2차 기형아검사, 성별확인(초코우유의 힘은?), 16주차에 만난 젤리곰
12주차 방문에선 1차 기형아 검사를 했었죠. 16주차에 방문에서 2차 기형아 검사를 진행했어요. 두 검사 모...
아들일까 딸일까? 10주 - 16주 태아 심장소리 모음 (+ 성별공개)
아마 임신이라는 거대한 이벤트 속에서 가장 큰 이슈를 하나 꼽으라면 저는 바로 성별공개가 아닐까 싶은데...
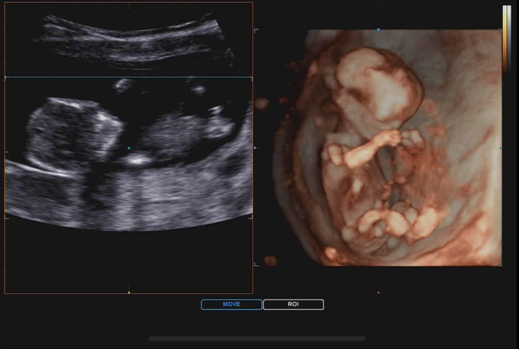
12주 4일 : 1차 기형아 검사, 목투명대 검사, 각도법(이건 누가봐도...?), 입체초음파, 심장소리
임신 중기 임산부 주요 검진 내용 및 주수 10주 이후 : 니프티 검사 가능(고위험 산모의 경우) 12주 : 1차 ...
10주 0일 : 복부 초음파, 젤리곰 시기, 임신초기 입체초음파, 10주차 태아 심장소리
어느 새 10주차 임산부가 되었어요. 그동안 질 초음파로 아가를 확인했지만 드디어 복부 초음파로 아가를 ...