2025.08.01
출처
[의정부 맛집 / 샐러드 맛집] 다이어트도 맛있게! 건강한 한끼 "주니아"
어느날, 일터 앞에 새로 생긴 샐러드집! 늘 눈여겨만 보다가 공복에 출근한 날 냉큼 가봅니다~ ✅️ 경기 ...
[수유 놀거리] 보드게임부터 만화까지~ 주말 초등학생 아이랑 실내 데이트 "놀숲 만화카페"
이웃님들, 만화카페 좋아하시나요? 책 읽는걸 좋아하는 블리양을 데리고 집근처 만화카페를 가봤는데 새로 ...
[수유 파스타 맛집] 가성비 좋은 "리얼파스타 수유점"
이웃님들, 파스타 좋아하시나요❓️ 저희 블리양이 파스타 진짜 좋아하는데요~ 수유에 가성비 좋은 파스타 ...
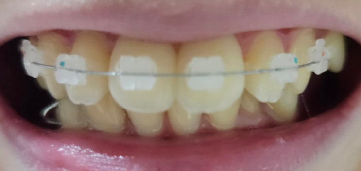
중학생 두번째 악궁확장 치아교정이야기_16
오늘은 아래쪽 악궁확장기 빼고 고무줄 걸어둠 아드님은 확장기 빼는 날만 기다렸는데 오늘부터는 고무줄 ...
연수동 예담 들깨삼계탕
들깨삼계탕 땡기면 송도 경복궁 가서 먹곤 했었는데 신랑이 연수동에도 있다고 회식했었다길래 장보러 나온...
중학생 두번째 악궁확장 치아교정이야기_15
오늘 교정과 정기 검진날 위에 어금니쪽 장치 더 달면서 위쪽 악궁확장기는 빼기로 함 아래는 아직 확장기 ...
다이소 모다모다 새치 올커버 스틱
자주 염색을 하다보니 머리카락이 푸석푸석해져서 염색하는 텀이라도 늘렸으면 했는데 다이소에서 모다모다...
CU편의점 알바 쇼핑몰 택배픽업 입고, 고객전달 포스기 POS 사용
오늘 택배하나가 들어왔는데 포스기에서 택배들어온거 입고 등록할려고 [서비스]-[택배/택배픽업]-[택배픽...
초등학생 두번째 악궁확장 치아교정이야기_14
악궁확장기 낀지 4개월 ?? 매달 한번씩 확인차 내원 하다가 오늘은 윗니만 교정장치 단다길래 오~확장기 위...
CU편의점 알바 택배 QR 없을때 포스기 POS 사용
택배 찾으러 손님 왔는데 큐알이 없다고 하셔서 재발송 보내드렸는데 (재발송 방법은 맨아래 확인) 번호를 ...