2025.08.14
출처
고구마줄기볶음 레시피 고구마순볶음 들깨가루
고구마줄기볶음 고구마줄기볶음 레시피 고구마줄기볶음 들깨가루 고구마줄기요리 며칠전 저녁 운동하면서 ...
댕댕이 입맛저격 애견간식 반응 최고였어요, 호박고구마간식
업체로부터 소정의 원고료를 지급받아 작성하였습니다. 1. 예민한 댕댕이를 위한 간식 찾기 여정 저희 댕댕...
고구마줄기 볶음 레시피 삶기 고구마순볶음 요리 고구마순나물
고구마줄기삶기 고구마줄기요리 고구마순볶음 고구마줄기볶음레시피 고구마순요리 고구마순 삶기 고구마순...
고구마순김치 레시피 고구마줄기김치 담그는법 고구마줄기 요리
전라도식 김치인 고구마순 김치는 여름에 햇고구마가 나오기전부터 첫서리가 내릴때까지 선보이는 고구마순...
고구마줄기볶음 레시피 고구마순볶음 만들기
어느새 고구마가 자랐는지 마트에 고구마줄기가 선을 보이기 시작했어요. 손이 많이 가는 고구마줄기는 시...
이유식 시작 준비물, 플리에 방수 턱받이 사용후기 (강추!)
초기 이유식 준비물 추천 방수 턱받이 후기 플리에 반팔 방수 턱받이 171일부터 이유식을 시작한 콩이 처음...
[란시노] 급하게 먹는 아기를 위한 젖꼭지 사용 후기 (Y컷, 란시노 M사이즈 젖꼭지, 젖병 호환)
업체로부터 제품을 무상으로 제공받아 작성된 후기입니다. 미국, 영국 NO.1 수유 용품 브랜드 란시노 란...
[임신 39주] 출산, 양수터짐, 자분 시도 후 응급 제왕 엔딩에 대하여..
출산부터 지금까지 시간이 쏜살같이 지나갔다. 지금이라도 머릿 속의 출산날의 기억을 기록해두고자 남기는...
D+24 신생아 BCG접종, 육아일기
2024.09. 03 D+24 콩이는 오늘 BCG 접종을 위해 첫 외출을 했다. 산후관리사님이 동행해주셔서 조금 수...
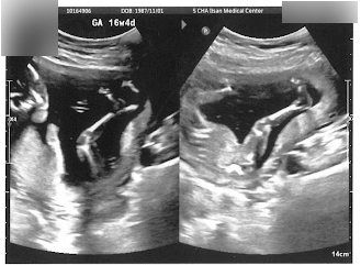
[임신 15 ~ 16주] 임신초기 막바지! 몸무게, 배크기 변화, 임신 적응 과도기, 라이브 클럽 공연 관람, 정기검진, 신경관결손, TSH 2차 검사
임신 29주차에 숙제처럼 쓰는 15주차 일기.. 출산전에 다 쓸 수 있을까...? ㅋㅋㅋㅋㅋ 나중에 콩이랑도 읽...