2025.08.14
출처
보정동 주차 편한 대형카페 어반런드렛 더 테라스
오랜만에 지인을 만난 지난 1월. 평생 딱 먹을 만큼 술의 양이 있다 더만 나는 2~30대에 다 소비했는지 요...
평택에서 평촌 로라바운스에 가다
유치원에서 로라바운스에 견학을 다녀오고 난 후 우리 막둥이는 로라바운스에 가고 싶다는 말을 달고 다녔...
내 블로그 광고에서 물건을 구매하면 블로그 수입은 얼마나 될까??ㅋㅋㅋ 베나레스 인도카레, 정미소 순 땅콩버터
블로그를 다 쓰고 올리면 마지막으로 검수를 하며 다시 한번 읽게 되는데 그럼 에드포스트를 신청했기 때문...
갑자기 이석증이 또 왔다. 20여 년째 피곤하면 재발하는 이놈의 이석증
스무 살, 그래. 그때부터였다. 지금 생각해 보면 가장 아름다울 시기인 그때. 그때 나의 세상은 작고 답답...
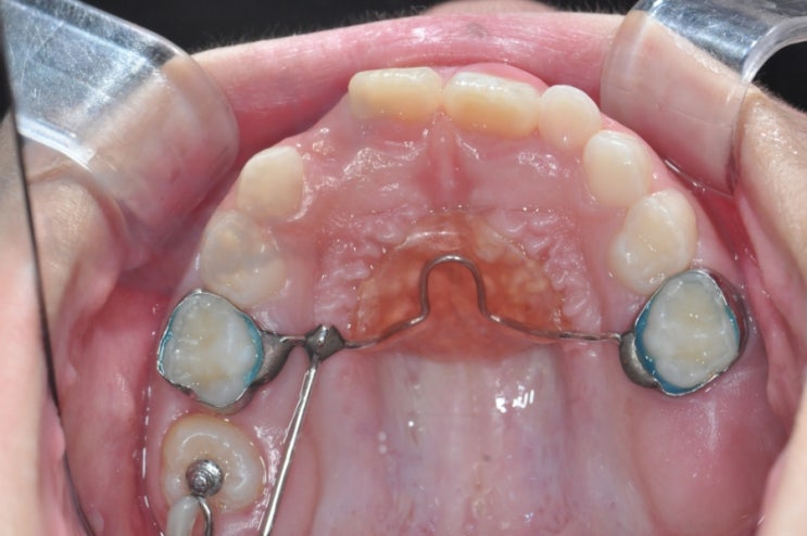
8세 딸 유치를 미는 영구치 어금니 교정 과정 ㅡ 2개월 후 교정기 제거 (총 4개월 걸림)
그래... 드디어 우리 딸의 어금니 교정이 끝이 났다. 8세 때 시작해서 9세 때 끝이 났다. 유치를 미는 영구...
스피또 2000 57회가 남았다니...
여행 동영상 편집때문에 복권사러 갈 시간 마저도 없었다. 이제... 하루치 영상만 남았다...ㅜㅜ 결과물도 ...
크리스마스 12,800원 수제 딸기타르트와 홈플러스 맥주 행사 사은품 에탄올 불멍 미니 램프와 함께 한 크리스마스 홈 파티
그렇지, 모든 시작은 여행 동영상과 이런저런 연말 스케줄로 크리스마스 케이크 예약을 못한 것에 있다... ...
[2024 마이 블로그 리포트] 데이터로 찾아보는 내 블로그 마을
올해도 너무 감사할 일이 많았다. 행복한 한 해 감사합니다^^
대한검정회 6급 한자 골 때리는 방법으로 외우기
대한검정회 6급 한자 신출한자는 총 20字예요^^ 블로그에 대한검정회 5급 한자 찾아보시는 분들이 많길래 ...
다낭 마지막 날 콩카페 우동집UDON TEN 다낭공항 버거킹
다낭의 마지막 날 아침이 되었다. 날씨는 왜 또 이렇게 좋은 겨~~~~ 각자 할일 하는 중^^ 조식을 먹으러 갑...