2025.08.20
출처
-
러쉬 50% 세일 달림 (사진 화질이 왜이러지..) 갑자기 열이 38도 넘어버린놈 . 부페 먹다가 집으로 크리스...
[무릎] lipoma arborescens 수지상 지방종
참고 : https://blog.naver.com/anaisna/222893237243 Rare 주로 무릎에 발생 : 수년동안 서서히 무릎이 ...
[무릎] ACL ganglion with mucoid degeneration
** 결절종 ganglion cyst : 주머니에는 연부조직의 유점액변성(mucoid degeneration)으로 단순한 관절액, ...
[족부][증례] 소아 osteoid osteoma
DDx : osteomyelitis, stress fracture, inflammatory arthritis, more aggressive bone tumor. M/15 1...
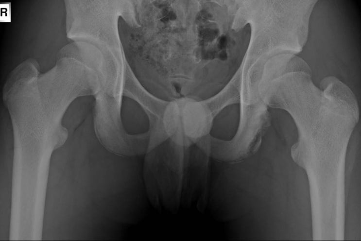
[골반][증례] ischial tuberosity Avulsion fracture or apophysitis (소아 성장판 견연 골절)
[7271] M/13 다리찢기와 태권도 선수 r/o ischial tuberosity apophysitis or avulsion fx 오래전부터 엉...
[증례] erythromelalgia 의심
https://www.kspad.or.kr/files/journals/2013/01/04.pdf [6336] F/60 20년이상의 당뇨(당화7.8~8.8) 고혈...
[통풍] 통풍을 수술을 해야하는 경우
▶통풍! 수술을 해야하는 경우는.. 관절염 및 관절 파괴, 그로 인한 활액막염 통증이 조절되지않을때 (자꾸...
여자 운동화 추천 화이트 스니커즈 봄맞이 라코스테 신발 구매 후기
봄을 맞이하여 화이트 운동화 하나 있었으면 해서 백화점도 가보고 신발 매장도 여러 곳 다녀 봤어요 봄, ...
대구 라코스테 동성로점 설날 선물 라코스테 신발 어때
예전부터 살까 말까 눈독 들이고 있었던 라코스테 신발이 30% 세일 중이라는 소식에 대구 라코스테 동성로...
여자친구 신발 플라워박스 선물 * 라코스테, 나이키
여자친구 신발 선물 플라워박스 함께 특별하게 라코스테, 나이키 운동화 함께.. _ 서울꽃집 리지데이 Lizi...