2025.08.23
출처
[28~29주차 기록] 최악의 28주ㅠㅠ, 행복한 29주❤️, 임산부 화농성 혈관종
지금까지 별다른 이벤트 없이 우리또리는 무럭무럭 잘크고 있었다 주수보다 작다, 피가 비친다던지 그런일...
[24~27주 기록] 임당검사, 갑상선기능저하증, 배뭉침, 태동검사
임당검사 저번 검진때 다음엔 임당검사를 할 예정이라며 안내를 따로 받았다 병원마다 검사방식에는 차이가...
[임신 22-23주차기록] 늘어난 분비물, 양수인지 궁금할때 병원가기!
얼마전부터 분비물이 한번씩 왈칵하면서 나오거나 분비물이 늘어난 느낌에 아닐거 같지만 혹시나 양수가 터...
[만삭촬영 ]임신29주차, 창원베일리수, 조리원연계 만삭촬영
안녕하세요 글을 써야지 하다가 미루다보니 벌써 내일이면 30주가 되네요! 요즘엔 인기있는 조리원은 예약...
임신축하선물-베베킹박스 신청하기!
임산부 또는 출산 100일이내라면 누구나 신청가능한 베베킹박스 신청하세요! http://www.bebeking.co.kr/th...
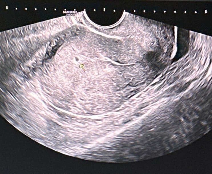
[임신 5주차]보건소 임산부등록방법 , 엽산, 철분제, 아기집, 엘레뉴
저번에 봤던 아기집이 아직 너무 작기때문에 5일뒤 한번 더 방문하라하셔서 다시 병원에 방문했다 그전에 ...
[임신4주차] hcg피검사, 전한나산부인과, 국민행복카드신청
공개할까말까 고민하다 이제 안정기에 들어서서 공개하는 우리또리의 임신준비기❤️ ——————————...
[일본여행/후쿠오카] 3일차 찍어먹는 우동 츠케멘
2023.03.29 3일차 후쿠오카여행의 마지막날 4시비행기였기에 점심먹고 공항가기로 결정! 체크아웃을 하고 ...
[일본여행/후쿠오카] 2일차 (이치란라멘, 오호리공원, 야끼니꾸)
2023.03.28 후쿠오카 여행 2일차 아침은 패스하고 11시쯤 캐널시티에 있는 이치란라멘을 먹으러 향했어요 ...
[일본여행 /후쿠오카] 1. 환전하기
일본여행을 일주일 앞두고 여행을 위해 준비를 시작했어요 주거래은행에서 환전을 하면 좋다했지만 집 주변...