2025.08.27
출처
신생아 모빌 디즈니모빌 출산전 아기용품 준비(내돈내산)
인터넷쇼핑과 당근으로 아기용품을 하나, 둘 준비중이다. 일단 신생아 때부터 바로 쓰는 물건 위주로 준비...
님봇NIIMBOT D110A 라벨프린터기 후기(내돈내산)
아기용품들을 하나둘씩 구매하고 정리하며 필요해진 물건, 라벨프린터기. 물건들을 깔끔하게 수납하기 위해...
임산부 성인 치아교정 클리피씨 월치료#2(@인천교정치과)
내가 교정받고 있는 연세고운미소치과. 전국에 체인이 있는 것 같다. 벌써 3번째 월치료. 난 재교정이기 때...
임신 25주 6일 초음파 및 임당검사...(세브란스)
2023.09.01. 벌써 25주! 이제 3달만 있으면 찰떡이를 만난다ㅎㅎ 오늘 진료날이라 세브란스에 다녀왔다. 금...
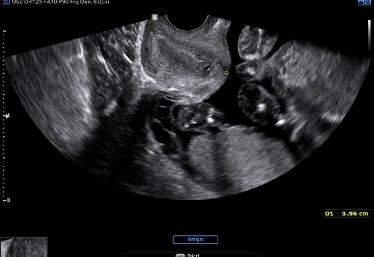
임신 23주 5일 초음파, 경부길이
2023.08.17. 세브란스 다녀온 지 벌써 2주! 지난번에도 경부길이가 조금 짧게 나왔기 때문에, 경부길이랑 ...
신생아 바구니 카시트(브라이텍스 윌로우S) 직구
출산까지 아직 3개월이 넘게 남았지만.. 몸집이 큰 출산용품을 하나씩 준비하고 있다. 아기침대, 유모차 등...
임신 21주 6일 정밀초음파, 경부길이@신촌세브란스
2023.08.04.금. 지지난주에 담당 교수님께 일정이 생겨서 한 주 미뤄야겠다는 연락이 왔었다. 그래서 6주만...
임산부 역류성식도염 속쓰림 도움 팁, 역류성식도염 베개(내돈내산O, 광고X)
임신 6주부터 입덧이 시작했다. 입덧도 입덧인데 가장 괴로웠던 건 역류성식도염ㅠㅠ 임신을 하면 자궁근육...
19주 5일 입덧 끝. 태동느낌. 경부길이.
2023.07.20. 그 심하던 입덧이 드디어 멈췄다 ㅠㅠ 사실 18주까지도 간간이 토를 했었는데.. 그저께 깜박잊...
임신 18주 4일 성별확정, 경부길이 체크
2023.07.12.(화) 지난번 집근처 병원을 다녀온 지 2주가 지났다. 세브란스에 가려면 아직도 2주나 남았기 ...