2024.04.03
출처
사라진 것들
오늘보다 나은 내일을 꿈꾸지만 오늘이 이번 생에 가장 좋은 하루일수도 있다. 무언가 나아지면 무언가 나...
사라진 것들 - 앤드루 포터
전에 <빛과 물질에 관한 이론>을 꽤 재밌게 읽었던 기억을 가지고 앤드루 포터의 신작을 읽어보았다....
사라진 것들, 앤드루 포터, 신작 소설, 책 리뷰
도서 리뷰 # 95 사라진 것들, 앤드루 포터, 신작 소설, 책 리뷰 그동안 앤드루 포터의 작품은 읽어보지 못...
<사라진 것들> 앤드루 포터
#반달서림 #한달에한권소설읽기 #부에나반달소설클럽 #사라진것들 #앤드루포터 #문학동네 오늘은 한 달에 ...
[주술회전] 주술회전 부록 ’ S
파샤 구입하는 김에 같이 합배송한 부록들 ㅋㅋㅋ 다른부록들도 몇개 있지만 주술회전 부록만 따로 챙겨놓...
하이드 1회 줄거리 사라진 남편과 수상한 사건
1998년. 오광록(문영의 아버지)은 금고에서 급하게 차용증을 챙겨 벽난로에 불태워 없앤다. 지켜보는 딸 문...
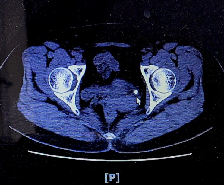
저절로 사라진 요로결석, 이젠 안녕? 부디부디~~
쇄석 했다고 했나요? "아니요! 아무것도 안했어요. 2월까지 계속 아팠어요." "음..꽤 크긴 ...
[미국소설] 앤드루 포터 『사라진 것들』 - 결국 사라진 것은 우리 자신이었다! 현실에서 점점 유령이 되어가고 있는 당신을 위한 애도!
결국 사라진 것은 우리 자신이었다! 현실에서 점점 유령이 되어가고 있는 당신을 위한 애도! 앤드루 포터의...
주술회전 도트 애니메이션 브금 / 회송전철
인기투표 프로모션 pv 【呪術廻戦】ドットアニメーション「廻送電車」【作業用BGM】 [주술회전] 도트 애...
3월: 연어스테이크, 주술회전 25권, 학자금대출 상환, 코로나 첫 확진, 넷플릭스 우산혁명
요즘 옷 사고 싶다 이를테면 카키색 카고바지 올여름은 메구미랑 커플룩 입을거임 신발은 오즈위고 올검 신...