2025.09.11
출처
임산부 치아 교정 중 사랑니 발치
23년 3월, 나이 먹고 치아 교정을 시작했다. 그리고 교정 시작한 지 한 달 만에 둥이가 찾아왔다. 5월쯤에 ...
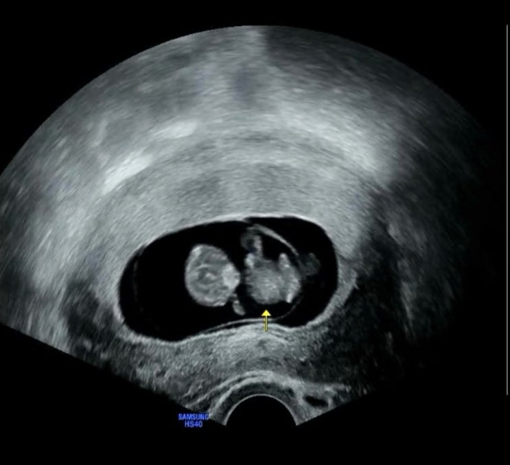
임신 초기 일상 (입체 초음파, 당근, 주수 사진, 계곡 물놀이)
23.07.01 9주 5일, 정기검진 가다 예정일에 맞게 잘 크고 있는 둥이! 난황을 꼭 붙잡고 있는 모습이 넘 귀...
lck 스프링 결승 직관 후기
돌고 돌아 티젠 4월 9일, 스프링 결승을 다녀왔다. 하루 지났는데 후유증 장난 아니고요... 아마 져서 그런...
WEDDING DAY
2022.07.16 WEDDING DAY venue #강변웨딩스퀘어 make up #애브뉴준오 dress #로즈로사 suit #테...
네 번째 4월 16일♥
오빠 만나러 가는 엘베 안 이날은 화장도 참 잘 됐다 >< 우리의 커플 신발! 웨딩촬영 때 첫 개시하려...
wedding 15. 웨딩 촬영 (그가 사랑하는 순간)
studio #그가사랑하는순간 make up #애브뉴준오 dress #로즈로사 suit #테일러룸스 wedding planer #베리굿...
wedding 14. 촬영 준비하기
3월 13일, 웨딩촬영을 앞두고 약 두 달 전부터 준비했다. 촬영하고 나서 찍는 촬영 준비기♥ 촬영 준비물 ...
wedding 12. 예복 계약&가봉&촬영복 대여 (테일러룸스)
12월 30일 테일러룸스에 들려 계약을 진행했다. (가봉 내용은 밑에 있습니다!) 오빠는 커피, 나는 주스로 ...
wedding 13. 촬영 드레스 가봉 (로즈로사)
2월 12일 촬영 가봉을 다녀왔다. 다들 평일을 추천하지만, 직업 상 평일에 연차를 쓴다거나, 볼일을 볼 수 ...
wedding 11.예물 웨딩밴드 수령 (JM다이아몬드)
1월 22일 예물 웨딩밴드를 수령했다! jm다이아몬드 방문~ 다이아 증서 확인 하고, 반지도 확인했다. 나는 ...