2024.04.05
출처
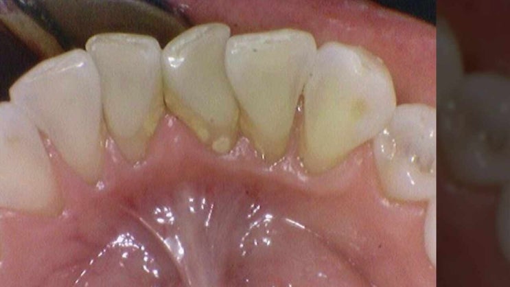
치간칫솔 피나는 원인, 잇몸이 손상된 걸까요?
치간칫솔 피나는 원인, 잇몸이 손상된 걸까요? 안녕하세요. 서울아산OK치과 치주과 전문의 대표원장 이남...
치간칫솔 사이즈 선택 그리고 사용법 tip
치간칫솔 이란? 치아와 치아 사이에 낀 음식물 찌꺼기를 제거하기 위한 도구입니다. 우리 모두 양치질을 열...
첨단 칫솔과 치간 칫솔 후기
인비절라인을 하면서! 이를 조금 더 깨끗하게 관리해야겠다고 생각했다. 양치 잘 하고, 치실 가끔 하는정도...
치간 칫솔 치주염 예방 잔존 치아 20개 이상일 때 더 효과적
안녕하세요, 스마트리빙입니다. 치아는 오복중에 하나라고 하죠? 다들 치아관리 잘하고 계시나요? 치주염, ...
치간칫솔 사용법과 장점 그리고 주의사항
오늘은 치간칫솔 사용법과 장점에 대해 알아보도록 하겠습니다. 치간칫솔은 치아 사이의 좁은 공간을 청소...
다이소 치간칫솔 임플란트 치아엔 치실 사용 못 해 구입한 이쑤시개 겸용 제품
제가 치아가 좀 부실한 터라 나이에 비해 빨리 임플란트를 몇 개 했거든요 시술 후 편하긴 한데 단점이라면...
치간칫솔 사이즈 중요성
치간칫솔 사이즈 중요성 식사를 한 뒤 양치질을 해야한다는 것은 누구나 다 알고 계실거에요. 우리는 하루...
치간칫솔 치실 사용법 SSSS 0.2 0.4 mm 치간치솔 사이즈
치간칫솔 치실 사용법 SSSS 0.2 0.4 mm 치간치솔 사이즈 반갑습니다.부산 드림치주과치과 대표 최원장...
치간칫솔 사이즈, 악순환의 고리를 끊기 위해 필요한 것은?
치간칫솔 사이즈, 악순환의 고리를 끊기 위해 필요한 것은? 안녕하세요! 회기역 서울저스트치과 입니다. ?...
치과 치간칫솔 일본 여행 부모님 선물로 좋은 Lion 치간칫솔
여러분들은 치간칫솔 자주 사용하시나요?? 치아 사이를 관리하는 기구에는 치실, 치간칫솔 등이 있는데 그...