2025.09.17
출처
박물관에 기증된 John Thoryk의 한국전쟁 촬영사진
2024년 5월 2일. John Thoryk 일등병이 전장에서 직접 촬영한 한국전쟁 촬영사진 112장을 대전시립박물관...
2024.5.2 - M5 육안관측
2024년 5월 2일 오후 11시 베란다에서 시야가 나오는 뱀자리, 처녀자리 하단, 천칭자리 일부, 전갈자리 우...
대전시립박물관에 전시되는 1930년대 ‘중앙의원’ 전단지와 김종하 선생 자료
2024년 3월 27일, 대전시립박물관 상설전시관에 전시부스 하나가 설치되었다. 기증했던 ‘중앙의원’ 전단...
2023.12.23
- 이물질에 의한 maxillary sinusitis 1예 지인분으로 수년전 부터 앓은 부비동염으로 집근처 ENT에서 ...
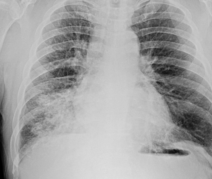
열이 없는 폐렴
2024.4.17 48/M 이사를 갔다고 몇년 만에 내원한 환자. 2달간 지속한 기침을 주소. 특이병력은 없고 기침...
백제 토기편에 남아있는 음식물
고고학자 강인욱 교수가 한 방송에서 한 말이 생각난다. “캠프에 있다가도 발굴장에 일단 들어가면 현대에...
한국전쟁 참전군인에서의 외상후스트레스장애 (Post-traumatic stress disorder;PTSD) (II)
미국에서 한국전쟁은 2차세계대전과 대중적인 지지에서 차이가 확연했다. 1953년 실시된 여론조사에서 23~3...
암
의사가 환자에게 '암'을 선고하는 과정은 대체로 덤덤하게 진행된다. 다만 그 시작에 있어 마음...
한국전쟁 참전군인에서의 외상후스트레스장애 (Post-traumatic stress disorder;PTSD) (I)
한국전쟁 참전군인에서의 외상후스트레스장애 (Post-traumatic stress disorder;PTSD) 외상후스트레스...
대전 소문산성
소문산성은 금강과 바로 인접해 있는 대전지역 가장 북단의 산성이다. 둘레 350m의 작은규모 산성이지만 백...