전립선비대증(BPH)의 초음파 검사

2025.09.23

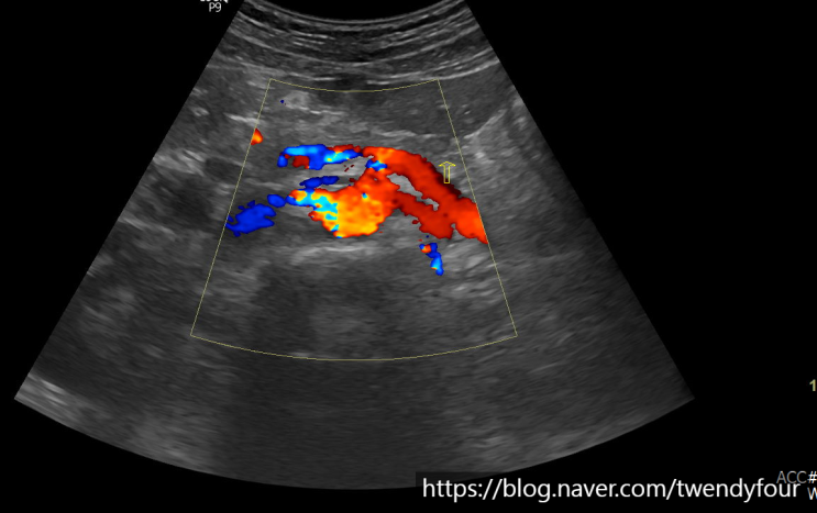
전립선비대증(BPH)의 초음파 검사 안녕하세요, 영원한 스물넷 트웬디포입니다. 오늘은 초음파로 간단히 ...

관련 포스팅

Copyright blog.dowoo.me All right reserved.