2025.09.30
출처
[18주-20주]양수검사 결과/자궁경부길이 짧음
내 생각에 태동인것같은 느낌을받으려면 자기전 엎드려자는 자세를 취하거나 왼쪽으로 누우면 배꼽 주변 깊...
[포천 당일치기]김미자 할머니 이동갈비, 술 박물관 산사원 '-'*
어느날 급 떠난 포천당일치기! 이번년도에만 3번째 방문인듯 ㅋㅋㅋㅋㅋㅋㅋㅋㅋㅋㅋㅋㅋ 이번엔 시부모님 ...
[정동진]부채길 산책/보스대게 빅보스 4인 SET '-'*
급 떠났었던 정동진 1박2일여행 신랑친구들 포함 4인 여행으로 다녀왔당 :) 5월의 긴 연휴에 다녀왔는데 가...
[13-17주]모자이시즘배아 양수검사 후기+비용
14주3일 샤워하고 머리감고나왔는데 아침부터 속이 울렁거리더니 결국 토하는데 암것도안나오고 힘들기만함...
[7주]맘스파크 산후조리원 예약 '-'* (내부사진X)
게시글 올리는걸 까묵어서 컴터에 묵혀있던 사진들! 나는 임신확인 후 바로 예약잡고 7주차에 방문후 계약...
[8-10주]젤리곰/빅젤리곰/입덧증상
7주6일 산후조원가서 예약금 걸고옴 8주0일 친정가서 임밍아웃. 엄빠 오열 나도 오열 ㅋㅋㅋ대성공 . . 젤...
[11-12주]1차 기형아검사_정밀초음파
11주0일 점심에 신랑,어머님과 산책하고 돈까스먹고 집에와서 쉬다가 저녁에 장어탕을 끓였는데.. 격한 냄...
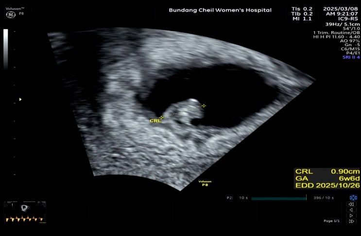
[5주-7주]아기집/난황/심장소리/입덧증상
동결 6차/ 시험관 8차 모자이시즘배아+검사안한 5일배아중 어떤게 착상했는지는 모르지만 오랜 기다림만에 ...
[우체국 보험]우체국 임산부 무료 보험
나라에서 임산부대상으로 진행하는 무료 보험이있다고해서 가입을했다 :) 스토어에서 우체국보험 잇다 보험...
2025년 임산부 친환경농산물 꾸러미 오프라인 신청하기
임신을하면서 임신초기에 해야할일들을 찾아보던중 알게된 임산부 농산물 꾸러미 신청하기‼️ 마침 임산부...