2025.10.02
출처
[배달 음식] 도미노 피자 - 이탈리아 갈릭스테이크 피자~ ^^*
그러니까 어느 날 도미노피자에서 전화가 오더니만 시식체험단 이벤트...
오사카주유패스 2일권 가격 예약 사용법 : 오사카주택박물관 투어
*본 포스팅은 개인의 경험을 바탕으로 작성했으며, 마이리얼트립으로부터 수수료를 받습니다. 일본 오사카 ...
일본 오사카 주유패스 1일권 2일권 가격 할인 결제, 사용처 사용 방법 + 클룩 10월 할인코드 쿠폰
일본 오사카 주유패스 1일권 2일권 가격 할인 결제, 사용처 사용 방법 + 클룩 할인코드 10월 쿠폰 오사카 ...
일본 오사카 주유패스 교통패스 알뜰 꿀팁
* 내돈내산 * 일본 오사카 여행을 준비할 때 가장 먼저 고민되는 건 바로 교통패스 ㅠㅠ 지하철, 버스, 전...
오사카 여행 2박3일 일정 주유패스 뽕뽑는 루트
오사카 여행 2박3일 일정 주유패스 뽕뽑는 루트 OSAKA 다가오는 명절 연휴 OSAKA여행 준비하는 ...
오사카주유패스 뽕뽑기 우메다 공중정원 전망대와 헵파이브 대관람차 후기
오사카 3일차 일정, 주유패스 1일권으로 덴노지 동물원 → 우메다 스카이빌딩 공중정원 → 헵파이브 대관람...
오사카 원더크루즈 예약 시간 탑승권 가격 주유패스 가능한 곳!
*오사카 원더크루즈 예약 시간 탑승권 가격 주유패스 가능한 곳! 오사카 도톤보리 소박한 강변에서 색다른 ...
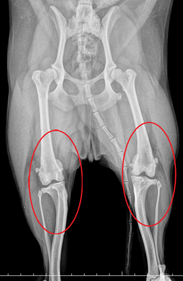
강아지 슬개골 탈구 수술 후기 (슬개골탈구 수술비용 수술과정 포함)
우리 몽실이 슬개골 탈구 수술 경험을 공유하려고 합니다. 많은 분들이 강아지 슬개골 탈구에 대해 걱정하...
대구 황금동 짬뽕 맛집 완뽕 본점보다 잘하는 곳
대구 황금동 짬뽕 맛집 완뽕 본점보다 잘하는 곳 완뽕 황금점 방문 후기 : 맛과 편리함을 모두 잡은 곳! ?...
이디야 인천 케이터링, 가성비/단체/모임/행사/커피/인천 전지역 커버 가능
안녕하세요! 이디야 인천 계양더프리미어점입니다 여러분의 특별한 순간이 더욱 돋보일 수 있도록 저희가 ...