2025.10.02
출처
미국에서 맞이하는 어머니 날
애들에게 받았는데 받자마자 너무 벅차서 눈물이 났다 ㅠㅠ 1년 동안의 노고가 다 씻기는 기분이다. 나도 ...
완전 꿀팁 미국회사 취업 준비 수업
https://youtu.be/FoTrsFt7rZk?si=orm77e5aAxGKwhkk 무작정 ㅋㅋㅋㅋ 이력서 쓰고 취업 활동...
감기약 난무 한국
미국에 이미 와서 감기약이란 걸 안 먹고 항체를 당연히 기르게 하기 위해 고열만 살짝 살짝 잡아 주고 콧...
지옥도 천국도 스스로 만드는것
어제 집근처에서 물놀이후(제레미가 엄마 봐주고) 집에 오자마자 재레미 일중이라 회사미팅중일때 ㅋㅋ 엄...
미국 자동차 사고 사기단
https://www.instagram.com/reel/DC6qoHcvtCX/?igsh=NTc4MTIwNjQ2YQ== 미...
세라 방금 죽을 뻔 함
방금 큰일 날 뻔 했어요. 언니들. 우리 세라가 갑자기 미친듯이 기침을 하는 거예요. 일 초도 안 쉬고. 그...
유전자 검사 최종 확인서
인간이 하는 일에는 실수가 있을 수 있기 때문에 유전자 검사를 통해서 내 병이 없는 거 확인하고 이식 했...
엄마가 오시는 시간
이른 아침 새벽 다섯 시부터 뇌전증 약을 먹기 직전인 일곱 시까지. 내가 평소 알던 다정하고 똑똑하고 그...
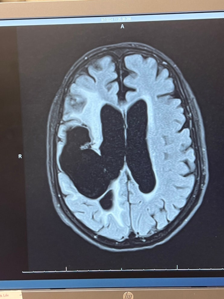
엄마 뇌사진
저번주 찍은 우리엄마 뇌사진. 내가 아무리 엄마가 나를 힘들게 해도 엄마를 끝까지 안고 살아가는 이유. ...
미국 총선거 안내서
오 처음으로 미국 총선거 한국어 안내서를 받았다. 법안대로 한국어로 잘 설명돼 있고 취지 와 이유와 제안...