2025.10.05
출처
넷플릭스 영화; 더 레지던트(The Resident)를 보면서
필자는 최근에 netflix에서 방영되는 의료 영화 " the resident"를 보면서 여러 가지 소감이 들...
급성 충수염(맹장) 같은데 아닌 것은?
40세 된 기혼 여성이 8일 전부터 오른쪽 아랫배에 아래 그림으로 표시한 장소가 아프다고 해서 내원하였다....
"물을 빨대로 마시면 괜찮은데 그대로 마시면 가슴 한 가운데가 아프다"
세상에는 별의 별 증상을 호소하는 분들도 많다. 오늘은 그 중 하나를 소개한다. 캐나다에 사시는 48세 되...
이런 대장 내시경 소견은 어떤 병일까요?
78세 된 여성이 식사를 하면 윗배가 더부룩하고 통증은 오히려 아랫배에서 생긴다고 해서 내원하였다. 이런...
국가 검진 시에 추가 검사는 어떤 것이 좋을까요
일전에 어느 유튜브를 보는데 시청자들이 서로 채팅을 하는 중에 한 분이 "나는 금년에 국가에서 하는...
위에서 출혈이 있는 것 같은데도 왜 위내시경 검사를 1주일을 미뤘을까?
원래 이분은 B형간염 보균자로서 간 검사를 하면서 정기적으로 병원을 찾고 있는 분이다. 그런데 이 분이 ...
당뇨 전단계(prediabetes), 생활방식을 개선해야 하는 중요한 단계
당뇨 전단계라고 하는 것은 위의 그림에 표시한 것처럼 검사를 했을 때, 높은 혈당을 처리해서 낮추는 능력...
아침에 자고 나면 양손이 붓는다고 하는 분
미국에 사는 52세 된 여성이 내원하였다. 이분에서는 최근에 아침에 자고 나면 양쪽 손이 부어서 미국의 병...
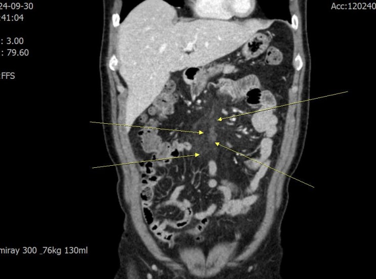
Bacteria somewhere, bacteria nowhere, bacteria in mesentery?(세균이 어디 있는데, 아무 데도 안 보이면, 장간막에 있는가?)
이분은 병원에 오기 3일 전에도 골프도 치고 짐(gym)에 가서 상당히 과격한 운동을 하고 나서, 등과 팔이 ...
중요한 검사를 할 때에는 병이 나오면 그 후속 조치가 가능해야 한가를 고려해야 한다
환자가 되어서 병원에 가면 의사가 문진과 진찰을 한 후에 증상에 정도에 따라서 각종 검사를 하기도 하고,...