2025.10.13
출처
스페인 포르투갈 여행 준비물 유심 이심 아이폰 설치방법 추천
안녕하세요. 여행 인플루언서 가가가가가리입니다. 얼마 전 다녀온 스페인 포르투갈 여행에서 가장 잘했다...
양천구치과, 절대 가면 안 되는 치과 5가지 유형
양천구치과, 절대 가면 안 되는 치과 5가지 유형 반갑습니다.^^ 로고스치과병원 대표원장 박희건입니다. &q...
목동임플란트, 뼈이식이 정말 필요한지 의사가 알려드립니다
목동임플란트, 뼈이식이 정말 필요한지 의사가 알려드립니다 반갑습니다.^^ 로고스치과병원 대표원장 박희...
화곡동치과, 임플란트 병원 함부로 고르면 안 되는 4가지 이유
화곡동치과, 임플란트 병원 함부로 고르면 안 되는 4가지 이유 반갑습니다.^^ 로고스치과병원 대표원장 박...
등촌동치과 꼭 치료 안해도 되는 충치가 있다?
등촌동치과 꼭 치료 안해도 되는 충치가 있다? 반갑습니다.^^ 로고스치과병원 대표원장 박희건입니다. &quo...
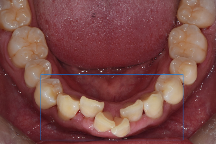
방화동교정치과, 덧니 치아교정 사례 살펴보기
방화동교정치과, 덧니 치아교정 사례 살펴보기 반갑습니다.^^ 로고스치과병원 대표원장 박희건입니다. &quo...
까치산역치과, 치아 발치하기 전 반드시 읽어보세요
까치산역치과, 치아 발치하기 전 반드시 읽어보세요 반갑습니다.^^ 로고스치과병원 대표원장 박희건입니다....
발산역치과, 스케일링 받으면 치아가 정말 망가질까?
발산역치과, 스케일링 받으면 치아가 정말 망가질까? 반갑습니다.^^ 로고스치과병원 대표원장 박희건입니다...
유럽 여행 유심 이심 esim 로밍 비교 영국 스페인 포르투갈 2주 한달 링심 후기
해외여행 필수 준비물 유럽 유심 이심 로밍 비교 & 실제 사용 후기 #유럽여행유심 #유럽이심 이번 여름...
양천구청역치과, 임플란트 40만 원의 비밀을 밝힙니다
양천구청역치과, 임플란트 40만 원의 비밀을 밝힙니다 반갑습니다.^^ 로고스치과병원 대표원장 박희건입니...