2025.10.13
출처
당산동치과, 치과 선택 실패하지 않는 5가지 원칙
당산동치과, 치과 선택 실패하지 않는 5가지 원칙 반갑습니다.^^ 로고스치과병원 대표원장 박희건입니다. &...
마곡역치과, 잇몸치료 미루다가 후회하는 이유
마곡역치과, 잇몸치료 미루다가 후회하는 이유 반갑습니다.^^ 로고스치과병원 대표원장 박희건입니다. &quo...
목동임플란트 가격 함정에 속지 마세요
목동임플란트 가격 함정에 속지 마세요 반갑습니다.^^ 로고스치과병원 대표원장 박희건입니다. "40만...
가양동치과, 스케일링 후 치아가 시린 이유 <의료진 작성>
가양동치과, 스케일링 후 치아가 시린 이유 <의료진 작성> 반갑습니다.^^ 로고스치과병원 대표원장 ...
우장산역치과, 충치치료 할 때 몰라서 후회하는 것
우장산역치과, 충치치료 할 때 몰라서 후회하는 것 반갑습니다.^^ 로고스치과병원 대표원장 박희건입니다. ...
유럽여행 준비물 포켓와이파이 스페인 프랑스 이심 스위스 유심
안녕하세요 유럽여행 준비물로 필수로 가져가야하는 것이 해외데이터를 사용할 수 있는 유럽 포켓와이파이,...
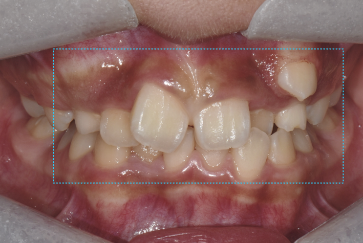
강서구 소아 치아교정, 어린이 비발치 교정 케이스
강서구 소아치아교정, 어린이 비발치 교정 케이스 반갑습니다.^^ 로고스치과병원 대표원장 박희건입니다. ...
스페인 포르투갈 유심 vs 이심 추천 가격 비교 5G 무제한 할인 링크
제휴링크를 통해 수익 얻지만 자세하게 리뷰함 해외 여행 정보 스페인 포르투갈 유심 vs 이심 © 냥이유 안...
마곡치과 갈 때 모르면 평생 후회하는 3가지
마곡치과 갈 때 모르면 평생 후회하는 3가지 반갑습니다.^^ 로고스치과병원 대표원장 박희건입니다. "...
우장산역치과 임플란트 시술 할 때 90%가 모르는 정보
우장산역치과 임플란트 시술 할 때 90%가 모르는 정보 반갑습니다.^^ 로고스치과병원 대표원장 박희건입니...