2025.10.13
출처
40대 이후 잇몸이 변한다? "그냥 나이 때문이겠지"라고 넘겼던 잇몸 변화의 정체(feat. 치과 의사가 알려주는 잇몸의 나이 먹는 법)
연령별 잇몸 노화 가이드 "잇몸이 늙는다고요?" 그냥 나이 탓인 줄 알았던 잇몸 변화, 대수롭지 ...
무더위 속 치아 건강 지키는 여름철 여름 보양식 3선! (feat. 치과 의사가 직접 추천한 레시피)
여름 보양식이 치아를 망친다? 치과의사의 진짜 조언! 연일 이어지는 찜통더위, 복날이 되면 '몸 보신...
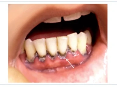
그냥 버릇이라 넘긴 입안 깨물기, 입 냄새 원인이었다니... 입 냄새 고치려면 '입안 점막'부터 살펴야 하는 이유
당신의 입안, 점막부터 보호해야 하는 이유 입안 점막은 단순히 '입 안쪽 피부'가 아니에요. 입...
보카바이블 40 분철 보관과 활용 방법 안내
보카바이블 40 분철 보관과 활용 방법 안내 영어 단어장으로 널리 사랑받는 보카바이블 4.0, 보람찬적으로 ...
생활용품 속 납, 우리 아이 치아엔 어떤 영향을 줄까?
중국 유치원 납중독 사건, 우리 아이도 안전할까요? 최근 뉴스를 통해 중국의 한 유치원에서 발생한 납중독...
이번 여름, 예뻐진 미소로 돌아오세요^^(휴가와 방학 때 반드시 해야 할 치과치료)
학생·직장인이라면 방학 단기 교정이 답입니다. 방학과 휴가 시즌, 오랜만에 여유가 생기는 시기입니다. 바...
"3세 전엔 꼭 끊으세요!" 치과의사가 알려주는 건강한 끊는 시기(feat. 쪽쪽이가 앞니 돌출을 부르는 이유)
"잘 자라고 줬는데... 앞니가 이상해요" 공갈젖꼭지 사용 시 주의할 점 "쪽쪽이, 언제까지 ...
임플란트 수술 중단하면 어떻게 되나요? 생각보다 심각한 결과가 생깁니다!
임플란트 중단했다면 꼭 보세요! 시간이 지나면 더 큰 문제가 됩니다. 임플란트 수술 중단 시 생길 수 있는...
앞니 크라운 후 잇몸이 까맣게? 교체가 필요할 수도 있습니다.
앞니 치료 후 까만 잇몸, 그냥 두면 안 되는 이유 앞니 크라운이란? 심미성과 기능을 모두 고려한 보철 치...
실사용후기 보카바이블 4.0 세트: 영어 시험 완벽 대비 추천해요
"" 다양한 영어 시험 준비에 최적화된 콘텐츠! 제품 소개 보카바이블 4.0 세트는 영어 단어 학습...