2025.10.13
출처
"어금니가 깨졌어요!" 깨진 어금니, 응급일까 아닐까 - 상황별 조치법
자연 치아 vs 보철 어금니 깨짐 - 원인과 치료법 정리 "어금니가 깨졌어요!" 첫인사부터 놀라셨...
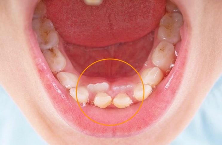
"유치가 이렇게 빨리 빠져도 괜찮나요?" 만 5세 이전 유치 빠짐... 부모가 꼭 알아야 할 진단과 치료 포인트
조기 유치 탈락, 꼭 확인해야 할 진단과 치료법 안녕하세요. 드문 일이긴 하지만 종종 "만 5세 전에 ...
정자역치과 이갈이 있는데 임플란트 가능할까? 꼭 알아야 할 포인트
정자역치과 이갈이 있는데 임플란트 가능할까? 꼭 알아야 할 포인트 안녕하세요:) 환자분들의 구강 건강을 ...
"웃고 싶지만 잇몸은 보여주기 싫어요" 거미스마일을 해피 스마일로 바꾸는 잇몸성형 안내!
짧은 치아, 두꺼운 잇몸... 잇몸 콤플렉스를 위한 잇몸 성형 시원한 여름 보내고 계신지요. 무더위 중에도 ...
오리역치과 임플란트에도 충치가 생길까요? 꼭 알아야 할 관리법
오리역치과 임플란트에도 충치가 생길까요? 꼭 알아야 할 관리법 안녕하세요:) 환자분들의 구강 건강을 소...
앞니 벌어짐, 놔두지 마세요! 레진 vs 교정 vs 라미네이트, 앞니 벌어짐 해결 가이드 비교 총정리
앞니 벌어짐 치료- 언제, 어떻게, 왜 필요한지 한눈에 알려드립니다. 안녕하세요. 오늘은 "앞니 벌어...
우리 아이 영구치가 이상한 곳에? 과잉치와 치아 위치 이상 어떻게 해야 하나요?
과잉치란? 우리 아이 앞니 사이 벌어짐의 원인 안녕하세요. 최근 내원하시는 부모님들 중 "아이 영구...
수지치과 임플란트 나사 풀림, 왜 생길까?
수지치과 임플란트 나사 풀림, 왜 생길까? 안녕하세요:) 환자분들의 구강 건강을 가장 가까이에서 함께 살...
오리역치과 임플란트 교체, 언제 해야 할까? 임플란트 교체 필요 신호 5가지!
오리역치과 임플란트 교체, 언제 해야 할까? 임플란트 교체 필요 신호 5가지! 안녕하세요:) 환자분들의 구...
앞니 깨졌을 때, 어떤 치료가 적합할까? 치과에서 추천하는 파절 종류별 치료 가이드
앞니 깨짐 치료 후 관리와 예방법 안녕하세요. 환자분들이 갑자기 "원장님, 앞니가 깨졌어요!" ...