2025.10.13
출처
아주 작은 습관의 힘: 제임스 클리어
김민식 PD님이 이런 말을 했습니다. 사람들은 인생의 위기가 바깥에서 온다고 생각합니다. 그래서 사회생...
아이와남해군겨울여행_겨울상주해수욕장/ 남해군 중화요리맛집[일품각]/책스타그램 아주작은습관의힘
2025년 2월 22일 토요일. 태백날씨 최저기온 영하12도 최고기온 0도로. 그래도 추움 그래도 햇살맑음. 오늘...
강릉포남동 속편한죽집[강릉 본죽]/책스타그램 아주작은습관의힘/강릉소품샵물꼬기/강릉가볼만한곳/
2025년 2월 16일 태백날씨 맑음. 태백 겨울바닥뷰^^ 눈이 쌓이고 기온은 추워서 눈이 앉기좋게 딱딱하여 철...
어금니 잇몸염증의 원인과 치료 방법
어금니 잇몸염증의 원인과 치료 방법 어금니 잇몸염증은 치아 주변 잇몸 조직에 세균이 침투해 발생하는 염...
사랑니 치통 약 타이레놀 먹어도 낫지 않는다면
사랑니 치통 약 타이레놀 먹어도 낫지 않는다면 사랑니 치통은 많은 사람들이 겪는 일반적인 문제로, 충치,...
사랑니 발치후, 술 음식 식사 흡연 가능할까요?
사랑니 발치후, 술 음식 식사 흡연 가능할까요? 사랑니 발치는 많은 사람들이 경험하는 치과 치료 중 하나...
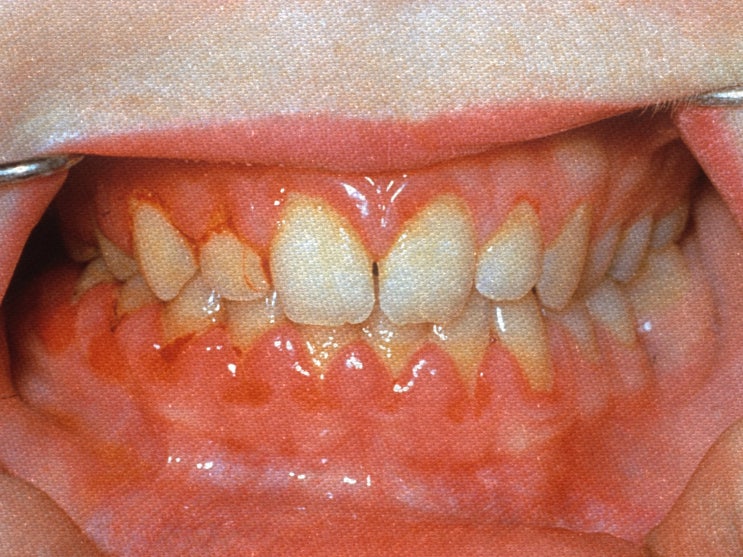
잇몸 붓고 피날 때 염증 통증 해결방안은?
잇몸 붓고 피날 때 염증 통증 해결방안은? 잇몸 붓고 피가 발생하는 것은 많은 사람들이 겪는 흔한 문제로,...
불소가글로 올바르게 충치예방하기
불소가글로 올바르게 충치예방하기 불소가글은 충치 예방에 효과적인 방법으로, 치아 표면의 에나멜을 강화...
치아 신경치료 과정과 기간에 대해 알아보아요
치아 신경치료 과정과 기간에 대해 알아보아요 치아 신경치료 과정은 감염된 신경 조직을 제거하고 치아의 ...
이시린이유와 치아마모증 해결방안은?
이시린이유와 치아마모증 해결방안은? 치아 마모증과 이가 시린 현상은 현대인들이 자주 경험하는 문제입니...