2025.10.17
출처
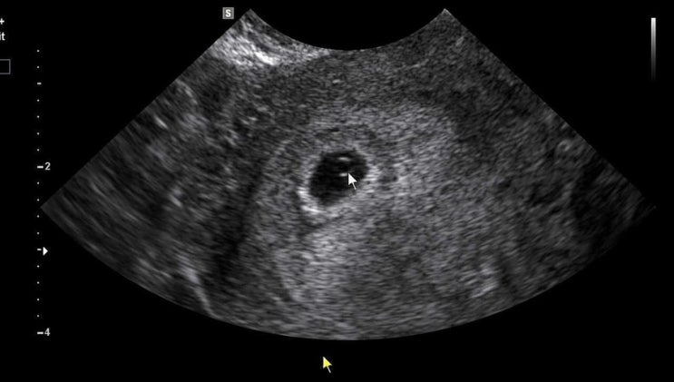
[임신일기]10 1차기형아검사 입체초음파 임신갑상선 임신12주차~임신15주차
아무렇지 않게 내가 임산부였던가 싶을 정도로 조심성 1도 없이 지내다가 병원 가야하는 날 이틀 전부터 갑...
[임신일기]8 임신7주차 임신갑상선저하증 /초음파 7주차심박수/ 임산부골프
6주차에 초음파보고 다음 내원일은 9주차...ㅎ... 어쩜 이래? 너무 멀어 난 내가 못견딜거같았어 짜-란 저...
[임신일기]7 임신6주차 아기심장소리 피검사 기찻소리 말발굽 심장박동수 임산부등록
기다리고 기다리던 심장소리 들으러 가는 날 콩알만한 것이 잘 붙어있을라나 증상이 아무것도 없어서 체감...
[임신일기]6 아기 성별 예측법 재미로보는 나의 아이의 성별은? (태몽,중국황실달력법, 미국달력법,결혼반지성별예측,심장소리)
아들 하나, 딸 하나 둘을 낳고 싶었다 나의 뜻대로 된다면...ㅎ 그러다 언제는 예쁜 딸을 낳아 키우고 싶었...
아시아나OZ0729 맨뒷자리 의자 비상구좌석 후기 아시아나기내식 하노이공항 교통약자대상
비행기 타는건 언제나 좋지 어딘가를 여행할 때니까~! 좋아하는 사람과 함께라면 더더욱 행복한 시간이라지...
[임신일기]5 임신5주차 증상 초음파 아기집보이는시기 임테기후크현상 인천마이비산부인과
가스가 차는 것처럼 부푸는 느낌이 아니라 생리가 곧 터질 것처럼 사르르 하게 아픈게 그리고 임테기역전이...
하노이문묘 근처 카페 에그커피 파는곳 <Không có gì>
베트남은 오토바이가 진짜 많은데 그것이 생계수단으로 이용하는 사람도 많다 정말 오토바이로 저걸 옮긴다...
[임신일기]4 임신 0주 차~4주 차의 기록2(배란19일~배란일차/생예+5일~생예+24일차) 임테기더블링 임테기역전
매일 임테기를 하면서 속도가 빠른건 아니였지만 이따금 쌍둥이에 대한 이야기를 했었다 혹시 쌍둥이면 어...
하노이맛집 미슐랭 딤섬맛집 <팀호완>
맛있는게 또 뭐가있을까~~ 하다가 미슐랭 딤섬맛집 팀호완을 방문했다 난 팀호완이 베트남에 있는 유일한 ...
어디라도 가야지? 산책하기 좋은 유교사원 <하노이문묘>
그래도 관광 하나 정도는 해야지 너무 먹기만 했는가 싶어서 지도를 켜고 갈 수 있는 곳을 찾았다 엄청 가...