2025.10.18
출처
히카마 효능 아삭한 뿌리가 수분을 채워주는 열대 채소
히카마 효능 아삭한 뿌리가 수분을 채워주는 열대 채소 히카마는 아삭한 식감과 상큼한 맛으로 많은 사람들...
히카마 효능 달콤한 아삭함으로 장 건강을 돕는 자연식
히카마 효능 달콤한 아삭함으로 장 건강을 돕는 자연식 히카마는 최근 건강식품으로 주목받고 있는 뿌리채...
별티가원 자연재배 히카마(얌빈) 판매합니다~
별티가원은 그림농원 옆골짜기에 있어요. 우리골짜기에서 산을 하나 넘으면 별티가원이 있답니다. 옛날같으...
슈퍼푸드 히카마라고 들어보셨나요?
자연에서 온 히카마는 신선한 뿌리채소로 멕시코 감자라고 해요. 풍부한 영양소와 아삭한 식감, 그리고 다...
[도시농업관리사 동행키움 일기] 히카마 수확기 — 세쌍둥이 사건과 흙의 유머
[도시농업관리사 동행키움 일기] 히카마 수확기 — 세쌍둥이 사건과 흙의 유머 1. 수확 전, 텃밭의 고요한 ...
히카마, 그 특별한 맛의 세계는 어떤 걸까?
히카마, 그 특별한 맛의 세계는 어떤 걸까? 히카마는 독특한 식감과 맛으로 많은 사람에게 사랑받는 채소입...
오키나와 츄라우미 수족관 북부투어 버스투어 가격
오키나와 북부투어 버스투어 츄라우미 수족관 가격 글, 사진 ⓒ츄장 렌트카 없이 오키나와를 가고자 계획하...
에뜨와 신생아용 해링 우주복 세트 조언
에뜨와 신생아용 해링 우주복 세트 조언 ☞더보기☜ 신생아 선물로 제격인 우주복 세트 에뜨와 신생아용 해...
(책 리뷰) 『Same as Ever 불변의 법칙, 모건 하우절 - 통계가 놓치는 것』
투자는 불확실합니다. 주식도 부동산 투자도 확실한 것은 없습니다. 아무리 기업이 호황을 이뤘더라도 사람...
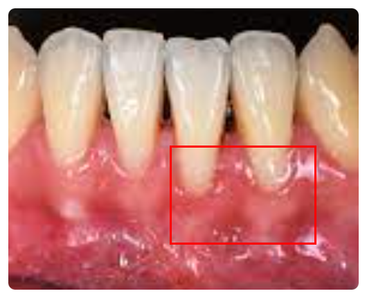
잇몸 내려앉음 영양제 보다 효과 있었던 방법 (원인부터 제대로 알자)
잇몸 내려앉음 영양제 보다 효과 있었던 방법 잇몸 내려앉음 영양제 보다 효과 있었던 방법 (원인부터 제대...