2025.10.27
출처
2024년 4월 암진단 - 효천내과의원
암을 초기에 진단하면 그 환자에게 큰 도움을 줄 수 있습니다. 하지만 늘상 그렇게 되는것은 아니어서 안타...
다초점 섬유경화증 multifocal fibrosclerosis , IgG-4 연관 질환 IgG4 related disease
최근 어떤 공격으로 인해 많은 글들을 내렸습니다. 아까운 글들이 많은데 괴롭습니다. 희귀병 진단은 오로...
효천내과 방송
https://m.blog.naver.com/qhrjtmhey/223364248137
[광주초음파]쓸개초음파/담낭초음파도 어렵습니다. 쓸개/담낭
쓸개는 한문으로 담낭입니다. 쓸개초음파가 쉬울것 같지만 사실 쉽지 않고, 담도를 관찰하는 것도 어느 정...
위염의 내시경 소견
위염의 내시경 소견 - 건국대병원 소화기내과 이선영저 이 책에서 발췌 비후성위염에서 헬리코박터균 감염...
광주내시경 효천내과의원(광주위내시경)
위내시경 검사는 깨끗해야하고 정확해야하고 치료에 도움이 되어야 합니다. 깨끗한 세척과 소독에는 많은 ...
검진할 때 채혈하고 위내시경 할때 다시 링겔을 꽂아 두번 찌르는 이유는?
위내시경 및 검진을 할때 한번만 찔러서 피도 빼고 그 혈관에 링겔을 연결하여 위내시경을 하면 좋지 않냐...
2023년 11월 암진단 2건 올해 암진단 11건입니다.
제 생각에 내시경 의사가 할 수 있는 가장 크고 위대한 진단은 식도암을 내시경 단계에서 치료할 수 있게 ...
11월 암진단 1건 올해 암진단 10건입니다.
갑상선암은 예후가 좋은 암입니다. 새롭게 한건 진단되어 수술 예정입니다. 정기적인 초음파 검사로 건강을...
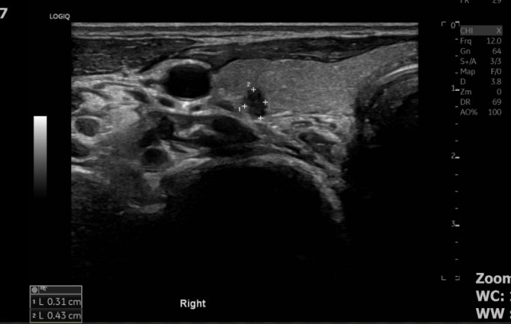
갑상선암
4mm 크기의 저에코 갑상선 결절 좌우 폭보다 상하 길이가 긴모양 둘레 마진도 미끈하지 않고 불균질합니다....