2025.10.29
출처
송파구치아교정 치과, 사랑니 발치 안 하면 안 되나요?(사랑니를 어금니 자리로~!)
송파구치아교정 치과, 사랑니 발치 안 하면 안 되나요? (사랑니를 어금니 자리로~!) 반갑습니다. 송파구치...
대전 궁동 충남대 양꼬치, 마라륭샤, 꿔바로우 맛집 천하춘 : 추석에 다녀왔어요
대전 궁동 충남대 양꼬치, 마라륭샤, 꿔바로우 맛집 천하춘 : 추석에 다녀왔어요 추석 연휴를 보낸지 얼마 ...
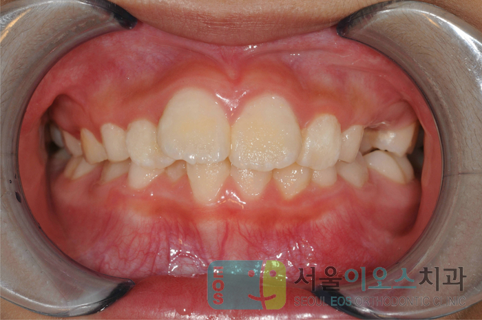
잠실역 교정치과, 치아 교정 중 앞니 사이 충치는 칫솔질로 예방해요~!
잠실역 교정치과, 치아 교정 중 앞니 사이 충치는 칫솔질로 예방해요~! 반갑습니다. 잠실역 교정치과 서울...
이솝 진저 플라이트 롤온 아로마오일 향, 진정효과 후기
생일주간이라 어제부터 집으로 쏙쏙 들어오는 선물들.. 지난 1년간 저는 주변들을 얼마나 챙겼는지 돌아보...
지친 하루를 달래줄 아로마롤온 특별한 이유
안녕하세요, 순수자아입니다:) 작은 병 하나로 하루의 무게가 조금은 가벼워질 수 있다면 믿어지시나요? &#...
머리아플때 대처법 힐링 롤온 7가지 추천 | 출근 스트레스 아로마롤온으로 극복
머리아플때 대처법 출근 스트레스 날리는 힐링 롤온 추천 7종 글,사진©오옐리 9월은 진짜 평일에 공휴일 하...
체온 1도 감정 온도 아로마 오일 롤온 3종 세트 햇살 에너지 부스터 키트
안녕하세요 밤글이 입니다 최근 개인 사정과 회사일로 심신이 많이 지친 상태입니다ㅠ 다 때려치우고 훌쩍 ...
아로마롤온 추천 벨카 아로마 쿨링스틱 후기
나는 평소 아로마테라피를 무척 좋아하는 편이다 아로마 오일이나 롤온스틱을 들고 다니면서 손목이나 귀 ...
구미강동병원 호스피스병동 말기암 환우님들과 함께하는 아로마요법 시간 . 롤온 만들기.외부출강
매주 월요일은 아로마요법 시간. 아로마 롤온을 만들어보는 시간입니다. 아로마롤온 만들기 재료 알아보기 ...
모녀데이트로 힐링 아로마롤온만들기, Hey Eugene 아로마 성분이 궁금해요
모녀데이트로 힐링 아로마롤온만들기 Hey Eugene 아로마 성분이 궁금해요? 모녀데이트는 무한합니다 :) ...