2025.11.02
출처
헌혈 후 음주 가능 여부와 적절한 기간
헌혈 후 음주 가능 여부와 적절한 기간 생명을 나누는 고귀한 실천, 헌혈에 동참하는 분들이 꾸준히 늘고 ...
대전건선 재발의 악순환을 막으려면
대전건선 재발의 악순환을 막으려면 피부에 붉은 반점이 생기면서 그 위로 하얀 각질이 겹겹이 쌓이는 모습...
한포진자가치료 면역 관리도 중요한 이유
한포진자가치료 면역 관리도 중요한 이유 손과 발에 투명하고 작은 물집이 생겨나는 한포진은 많은 분들에...
강남사마귀 재발을 막기 위해 면역 체계를 살펴봐야
강남사마귀 재발을 막기 위해 면역 체계를 살펴봐야 피부에 오돌토돌하게 솟아나는 병변은 생각보다 다양한...
롤리트리 아동용 페이크 목폴라 넥워머
롤리트리 아동용 페이크 목폴라 넥워머 안녕하세요, 여러분! 오늘은 우리 아이들에게 꼭 필요한 겨울 필수 ...
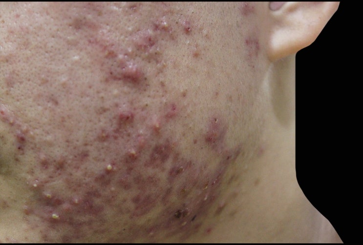
안양여드름 재발 원인과 특징을 구분해야
안양여드름 재발 원인과 특징을 구분해야 많은 분들이 겪는 피부 고민 중 하나가 바로 얼굴에 오돌토돌하게...
ECLL 국내제작 아동 페이크 목폴라 베이직
ECLL 국내제작 아동 페이크 목폴라 베이직 안녕하세요! 오늘은 우리 아이들을 위해 특별히 제작된 아동...
부천습진 재발의 악순환을 이해하고
부천습진 재발의 악순환을 이해하고 피부에 나타나는 문제들은 겉으로 보이는 것보다 훨씬 복합적인 원인을...
노원지루성피부염 특징과 원인 확인해서
노원지루성피부염 특징과 원인 확인해서 두피에서 비듬처럼 각질이 일어나거나 얼굴이 번들거리면서 붉어지...
수원두드러기 재발의 악순환을 방지하려면
수원두드러기 재발의 악순환을 방지하려면 어느 날 갑자기 피부가 부풀어 오르면서 극심한 가려움이 동반되...