2025.11.05
출처
춘천의 명물 우성닭갈비 원주점
춘천 맛집 하면 우성 닭갈비 많이 뽑이시잖아요 이 유명 닭갈비 집이 원주에도 있다 해서 들렸습니다~ 아 ...
원주 순두부 맛집 - 수가성 순두부 알탕순두부 짱
원주 순두부 맛집 수가성 순두부 리뷰해봐요! 원주에 사는 지인 만나러 갔다 다음날 아점으로 들린 식당이...
여주 산림박물관 -> 원주 반계리 천년 은행나무
좀 지나서 올리게 되었네요 ^^;; 초가을에 다녀온 여주 -> 원주 에요~ 가는길에 잠깐 여주산림박물관에 ...
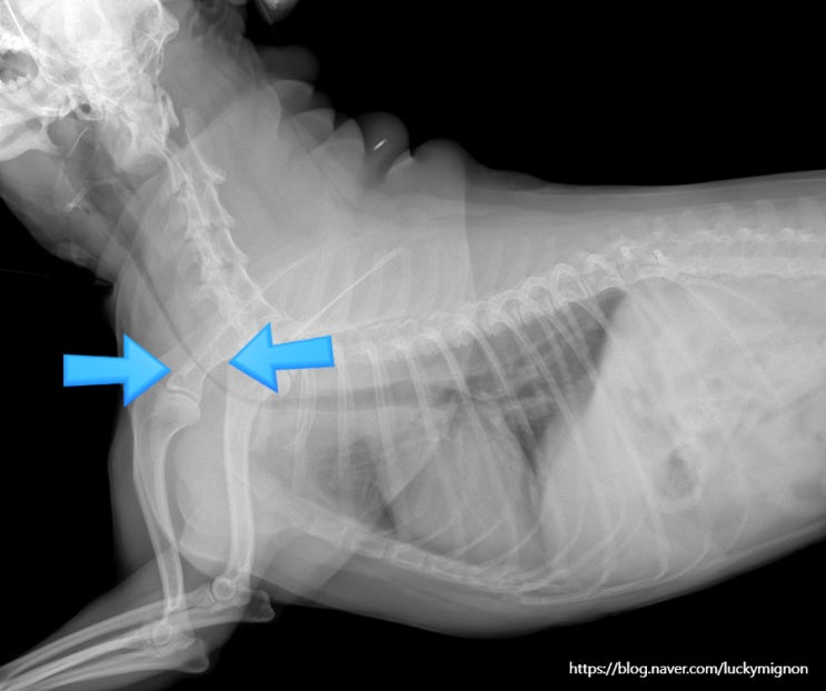
강아지 기관지협착 심장 초음파 지방종 수술 후기
안녕하세요! 8살이 넘어가면서 노견이 되어 가면서 스케일링이 필요하다 느껴 병원에 방문 했다 기관지협착...
초가을 다녀온 예산시장 '백사장님 최고' + 고로케 들기름막국수
사진첩을 정리하면서.. 몇달간 다녀온 곳들을 정리하면서 뒤늦게 올리게 되네요 ^^;; 초가을에 예산시장 다...
전주 3대 천왕 된장짬뽕집 '진미반점'
전주 둘째날에는 된장짬뽕 맛집 진미반점 들렸어요~ 저희는 11시쯤 들렸는데 다행히 오픈 하셨더라구요 진...
2년 만에 찾는 전주 한옥마을 그리고 전주한상차림 '남도집'
지난 주 익산에 갈일이 있어 갔다 근처 전주 들려 한옥마을 방문하고 저녁으로 전주 한상차림 맛집으로 유...
능곡시장 동네사람 추천 맛집 미소숯불갈비
오랫만에 다녀온 능곡역 부근에서 맛집 찾다가 동네사람이 추천해준 숯불갈비 맛집 미소숯불갈비 다녀왔네...
평생입는 몽클레어 롱패딩! 직구 꿀팁 + 보에딕, 클로에 폭스퍼 가격까지
안녕하세요. 해마와하마예요 :D 요 며칠 사이에 갑작스레 공기가 바뀌었는데요. 기온이 한자리 수로 떨어...
■V-ACADEMY, 현창백 박사 11월 10~11일 오후 8시
폐고혈압 진단·치료 전략·증례 토론 글로벌 수의학 교육기관 V-ACADEMY가 오는 11월 10일(월)~11일...