2025.11.06
출처
초유먹이고 단유하기 / 출산 후 가슴통증 줄이기
첫째 때 겪어보니, 출산보다 무서운게 젖몸살이다. 특히 첫째 출산이면 아무것도 모르고 갑자기 눈뜨고 당...
대전모태산부인과) 나우석원장님 둘째 제왕절개 후기
혹시나 진통이 올까싶어 조금 서둘러 38주 1일로 잡은 출산일. 첫째때는 멋모르고 했는데 이번엔 알고 하려...
출산가방, 조리원가방 컴팩트하게 싸기 / 에르고바디 핏유어코어 간단후기
평소에도 짐을 바리바리 싸들고 다니지 않는 편이라 덩치에 어울리지 않게 미니백을 좋아하고, 여행갈 때도...
출산 전 먹고 놀기 ) 대전 맛집 추천
산부인과가 둔산동 한가운데 있다보니 주말에 오면 주차가 너므 힘들어서 임신 중기부터는 평일에 다니기 ...
대전모태산부인과) 임신24주 임당검사, 대전 노티드도넛, 산후도우미 예약
어느덧 돌아온 공포의 임당검사- 첫째 때는 안전하게 통과했어서 이번에도 그러겠지 싶었지만 요즘 매끼니...
티파니앤코 티원링 대전 갤러리아 타임월드점 구입 후기
주기적으로 찾아오는 미친 물욕 ;-; 가방은 됐고 갑자기 악세사리에 눈이 간다. 목걸이는 애기 안고 다니면...
둘째임신기록) 임신16주~20주, 성별확인, 입덧약끊기, 2차 기형아검사, 현대해상 태아보험 가입
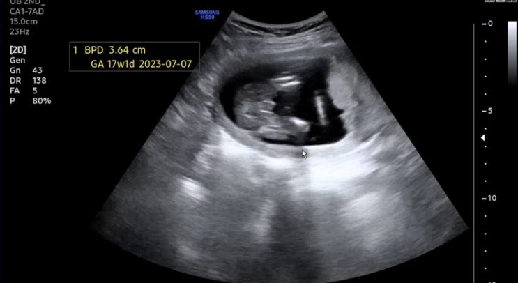
각도법은 과학인가 둘째도 아들 확정이다 ㅎㅎ 존재감 뿜뿜하는 17주1일차 초음파 - 내가 아둘맘이라니 허...
대전모태산부인과) 임신7주~12주기록/ 초기산전검사, 입덧약비용, 1차 기형아 검사, 모태산후조리원 예약
✔️ 아기집 확인 후 두번째로 방문한 모태 산부인과 - 임신7주차 : 심장소리 듣고, 초기 산전검사로 피뽑...
둘째 임신 초기 증상 / 아기집 확인 후 해야할 일
첫째때는 계획임신이라서 배란후 며칠째 증상들을 세세히 적고 그랬었는데 둘째는 전혀 생각도 못 하고 있...
돌아기 수족구 경험공유 : 수포 며칠동안이나 날까
마지막 포스팅이 돌끝맘을 바라본다는 내용이었는데 말도 안되게 돌잔치시작시간부터 열이 나기 시작하더니...