2025.11.08
출처
제주신라호텔 수영장:)어덜트풀 카바나
지난 현충일 휴일동안 제주도에 다녀 왔습니다. 숙소는 제주신라호텔에서 묵었는데 아무래도 제주신라를 선...
#828 엄마의 훈남
놀이학교에선 소방관련 훈련을 했다는데.. 과연 28개월의 아이가 어떤 소방교육을 받았을까 싶냐만...엄마 ...
#825 아빠는 너의 과거야
사진 찍던 아빠를 질질질 끌고 다니다가 백화점 가서 진열해 있던 자전거를 곧잘 타던 너. 하마터면 ...
#819 아빠는 너의 과거야
놀이학교 다녀와서 지호가 옷장을 뒤져 꺼낸 사자 코스튬결국 엄마에게 졸라서 전체 환복을 실시하고.거울...
#824 프로 뽁뽁러
맛밤을 까먹으면서 꾸벅꾸벅. 졸립지만 자지 않는 너에게 뽁뽁이를 던져 주었지.결국 넌 그 늪에 빠져 들었...
#817 두달전 송도 센트럴파크
아빠는 교정원장님 오시는 날이라 쉬는.. 4월 2일 토요일. 자그마치 두달 전. 두달이나 밀린 사진들. 괜찮...
반다이 스타워즈
예전부터 모으던 반다이 스타워즈 레플리카 컬렉션의 세번째 시리즈 이번 스타워즈 깨어난 포스버젼이 도착...
#814 아빠는 너의 과거야 by rx100m3
너의 미소와너의 찹살떡 같은 손과다시 너의 미소와너의 애교너의 애교. 확실히 사내 아이의 애교. 상어같...
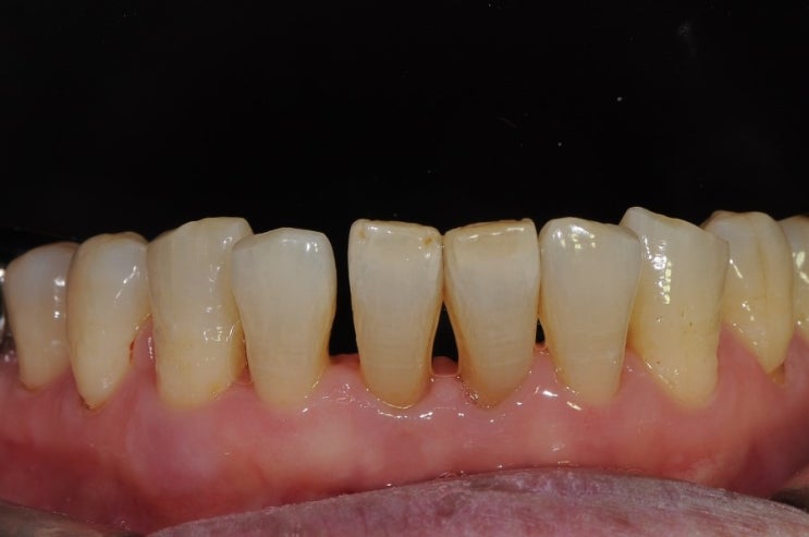
주안치과-치료의 기본. 레진
안녕하세요:) 주안치과 보인미소 심원장입니다. 소소한 치료사진과 치과의 모습 포스팅하고자 합니다...
#810 아빠는 너의 과거야
바바파파 지호입니다 뚝뚝바바뚝바 바바요술 :0 이때까지는 발가락 다친게 아직 안 나아서 저렇게 ...