2025.11.08
출처
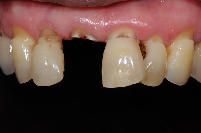
주안/구월동 치과 앞니성형
안녕하세요 주안 석바위에 위치한 보인미소치과 심원장입니다 :) 저희 치과는 주안에 있지만 구월동이 가깝...
오사카+괌 여행에 다녀왔습니다 :)
추석 연휴를 이용해서 오사카 2일 + 괌 6일 여행을 다녀왔습니다. 이제야 오랜만의 업데이트네요^^;;난생처...
주안/간석 치과 부러진 이빨 자연치아 살리기
안녕하세요^^ 인천 주안역 그리고 간석역의 중간에 위치한 인천지하철 2호선 석바위시장역 2번출구 앞 보인...
후쿠오카 하카타->벳부 기차 예약방법
안녕하세요 이지파입니다 :) 요즘 병원일로 꽤나 바빴습니다. 게다가 이지랑은 예전과는 다르게 사진찍는 ...
#853(2) 아빠는 너의 과거야
아장아장 걷고 또 걷고. 계단 오르고 내리기가 뭐가 그렇게 재미가 있는지. 그 모습을 보니 엄마아빠도 재...
#853(1) 아빠는 너의 과거야
#853일 2016년 5월 8일 @광화문 아빠는 너의 과거야 한껏 밀린 사진. 요즘 버거워하는 아빠. 이지야 :) 아...
#852 다시찾은 광화문 포시즌 호텔
2016 5월 7일 어버이날에 할엄빠가 여행을 가시는 관계로 우린 첫인상이 좋았던 광화문 포시즌스 호텔에서 ...
#846 아빠는 너의 과거야
아직 쌀쌀했던 5월 1일 탈 수 없었던 로보트아침식사개미구경나들이5월의 단풍서둘렀던 물놀이 #847일 5월1...
#850 어린이날
무슨날인지 알까 하겠느냐만은 어쨌든 어린이날양에게 맘마를 주려고 했으나 맘처럼 쉽진 않았지..맘마를 ...
#844 도시락 스티커
바나나 먹다가 엄마가 이지 도시락에 스티커 맘대로 붙여봐~~ 해서 시작된 도시락 스티커로 꾸미기 놀이 :)...