2025.12.16
출처
앞니 반대교합, 어린이 부정교합 치료 - 페이스마스크 사례 모음- 어린이교정
앞니 반대교합, 어린이 부정교합 치료 - 페이스마스크 사례 모음 - 어린이교정 안녕하세요 ^^ 오랜만입니다...
어린이 투명교정, 인비절라인 퍼스트 - 잠실
어린이 투명교정, 인비절라인 퍼스트 - 잠실 안녕하세요 교정전문의 최혜영원장입니다. 요즘 어린이들 투명...
영구치(선천적 결손) 없는 과개교합 케이스
영구치(선천적 결손) 없는 과개교합 케이스 안녕하세요 교정전문의 최혜영 원장입니다. 오늘은 아래 작은어...
인비절라인 퍼스트- 초등학생 투명교정기, 어린이 인비절라인 교정
인비절라인 퍼스트 - 초등학생 투명교정, 어린이 인비절라인 교정 안녕하세요 교정전문의 최혜영원장입니다...
왜소치, 영구치결손,옥니 - 교정 + 라미네이트+ 임플란트 - 송파
왜소치, 영구치결손,옥니 - 교정 + 라미네이트 + 임플란트 - 송파 안녕하세요 교정전문의 최혜영원장입니다...
춘천 레고랜드 후기(1)- 주말 레고랜드 호텔 편
안녕하세요 ^^ 오늘은 주말에 레고랜드+레고랜드 호텔 다녀온 후기를 좀 올려볼까해요. 저 워낙 평소에도 ...
춘천 레고랜드 후기 (2) - 일요일 레고랜드 14개 어트랙션 도장깨기
바로 이어서 춘천 레고랜드 후기 - 일요일 아침부터 입장에서 4시 30분까지 어트랙션 13개 + 공연 1개 + 두...
돌출입 교정, 잇몸돌출, 아래앞니 덧니 교정
안녕하세요 ^^ 교정전문의 최혜영원장입니다. 설 명절 잘 보내셨나요? 어제 오늘 역대급으로 추운 날씨네요...
2023 새해인사 드립니다 ^^
새해 인사가 조금 늦었어요. 2023년이 계묘년이라고 하네요. 토끼의 해군요! ^^ 귀여운 토끼처럼 깡총깡총~...
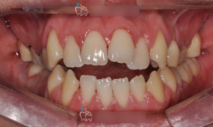
심한 오픈바이트(개방교합) 수술없이 교정치료, 발치교정, 돌출입교정 - 잠실
심한 오픈바이트 수술없이 교정치료, 발치교정, 돌출입교정 - 잠실 안녕하세요 ^^ 교정전문의 최혜영원장입...