2025.12.16
출처
230130_돌아오는 비행기에서 본
17일간의 여행을 마치고 인천으로 돌아오는 비행기에서 찍은 사진이다. 고도의, 선망의 도시들을 둘러보고,...
선망국가
우리나라는 왜 북유럽국가의 복지제도와 시민들의 여유를 부러워하면서도 그들과 유사한 정책을 추진하고자...
내 책꽂이의 자부심
사기도 하고, 얻기도 하고, 휴가때 맘먹고 읽기도 하고. 몇권을 사서 좋아하는 사람들에게 선물로 주기도 ...
ㅇㅅㅁ작가의 말
"인터넷에는 다양한 종류의 커뮤니티(모임)가 있는데, (1)부동산카페, 주식종토방같은 공부모임과 (2)...
230201_내자리
나름 2평(?)정도 확장한것 같다. 류정훈 소장(원아키텍쳐)과 함께 공유하기로 하고, 서교동으로 이사한 후 ...
(스마트)폰 뱅크런으로 은행이 망할수 있다면,
뿔난 우리나라 소비자들도 작정(?)하면, 가능하지 않을까? 은행들은 내돈이 입금(예금)되어 있음에도 대출...
23년도 음력설(계묘년)인사카드
계묘년 인사카드다. 사실 여행계획때문에 인사 '멘트'와 디자인을 12월말경에 준비했었는데, 공...
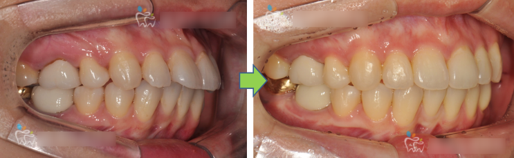
옥니, 과개교합 교정, 잇몸 보이는 미소, 거미스마일(gummy smile) 교정 - 잠실
옥니, 과개교합 교정, 잇몸 보이는 미소, 거미스마일(gummy smile) 교정 - 잠실 안녕하세요 ^^ 교정전문의 ...
재교정, 블랙트라이앵글
재교정, 블랙트라이앵글 안녕하세요 교정전문의 최혜영원장입니다. 크리스마스도 지나고 진짜 연말을 향해 ...
인비절라인 퍼스트 - 어린이 인비절라인 - 송파어린이교정
안녕하세요 교정전문의 최혜영원장입니다. 지난주는 봄처럼 따뜻했는데 오늘은 날씨가 쌀쌀하고 비도 오네...