2024.12.15
출처
맛있게 익은김치 한갓골 숙성 포기김치 추천
개인적으로 김치를 너무 좋아하기에 김치없으면 밥을 못먹음..ㅋㅋ 스파게티를 먹어도 김치 치킨을 먹어도 ...
맛있게익은 국산김치 한갓골 숙성 포기김치 택배
안녕하세요. 국산김치 러버라 냉장고에 늘 쟁여두는데요! 폭염으로 잃어버린 입맛도 돋우게 하니 밥상에 꼭...
국산 100% 포기김치 한갓골 숙성김치 저온숙성으로 아삭 시원 맛있어요
안녕하세요 크리씨입니다 매번 김치를 사먹는데 이번에는 어디껄 사먹나 하다가 주문해본 국산100% 포기김...
맛있게익은김치 국산김치 HACCP인증 한갓골김치 숙성 포기김치 2kg
집에 먹던 김치가 똑 떨어져서 2인 가정에서 먹을 숙성 포기김치 2KG 주문했다. 양가어르신 모두 김장을 ...
국산김치 추천 한갓골 숙성 포기김치
김치가 똑 떨어져서 인터넷으로 포기김치 2kg를 주문한 후기. 하나식품 한갓골김치를 주문했다. 주문 하루...
포기김치 5kg 국내산 택배 후기 + 숙성 및 보관법!
포기김치 5kg 국내산 택배 후기 + 숙성 및 보관법! 포기김치 5kg 국내산 택배 후기 + 숙성 및 보관법! 포기...
팽현숙 최양락의 맛있는 프리미엄 숙성 포기김치 10Kg
안녕하세요? 요리를 그냥 대충대충 하는 스타일이라 깊은 맛이 필요한 김치는 자신이 없어서 사먹는 편입니...
국내산 포기김치 주문 주식회사끼친 숙성김치 추천
안녕하세요. 저희집 밥상에는 김치가 꼭 올라와야되는데요. 남편이나 저나 김치맛에 엄청 까다로운 편이에...
국내산 포기김치 주문 주식회사끼친 숙성김치 추천 오늘은 매일 먹어도 질리지 않는 김치 소개해 드릴게요....
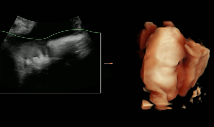
임신중일기_9. 37주차 초음파. 절대 얼굴 쉽게 보여주지 않는 한방이 ??
출산후에 적는, 출산하고도 꽤 지나서 적는 37주차 초음파 기록! 너무 오랜만에 블로그 포스팅하려니, ㅎㅎ...