2025.01.02
출처
안전은 선택이 아닌 필수! KFI 차량용 소화기로 안심 여행 준비하기
안전은 선택이 아닌 필수! KFI 차량용 소화기로 안심 여행 준비하기 여행의 즐거움은 그 어느 때보다도 ...
도두동임플란트 크게 3단계로 나누어진 과정과 관리
길게는 1년 이상까지 소요되는 다소 높은 난도와 진료 과정 일상 생활에서 치아가 하는 역할을 잘 알고 계...
12월부터 제작·수입·판매되는 5인승 이상 차, 차량용 소화기 필수
안녕하세요. 법무법인 송천 화재사고 소송센터입니다. [소방시설 설치 및 관리에 관한 법률] 개정에 따라 1...
안전한 드라이브를 위한 필수 아이템! KFI 국가검증 차량용 소화기 리뷰
안전한 드라이브를 위한 필수 아이템! KFI 국가검증 차량용 소화기 리뷰 안녕하세요, 미영입니다! 오늘...
안전은 선택이 아닌 필수! 파이어독 차량용 소화기 리뷰 및 활용 팁
안전은 선택이 아닌 필수! 파이어독 차량용 소화기 리뷰 및 활용 팁 안녕하세요! 블로거 미영입니다. 오늘...
차량용 소화기 의무설치 12월 1일부터 5인 이상 전 차량으로 확대
중대재해처벌법 완벽대비 청솔안전입니다. 차량용 소화기 의무설치가 12월 1일부터 5인 이상 전 차량으로 ...
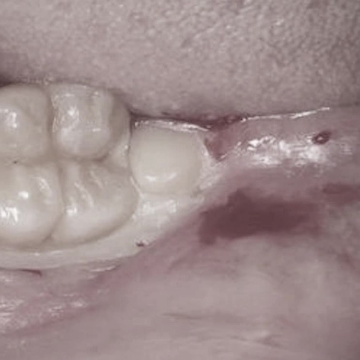
해안동사랑니발치 사전 검사로 주위염 여부를 체크
사랑니로 인해 흔하게 발생하는 잇몸 염증성 주위염 질환 치아 중 가장 마지막에 나오는 사랑니는 입안 끝 ...
차량용 소화기 모든 차량 운전자를 위한 필수 정보 및 차량용 소화기 추천 상품 5가지
안녕하세요! 오늘은 차량 안전의 필수품인 차량용 소화기에 대해 이야기해 보려고 합니다. ? 자동차는 우리의 일상생활에서 필수적인 이동 수단이지만, 예상치 못한 화재 사고의 위험도 내재하
애월읍스케일링 시큰한 통증과 출혈로 인한 오해
스케일링 직후부터 느껴지는 불편한 증상은 건강한 구강을 유지하기 위해선 단순히 양치질만 잘하는 것이 ...
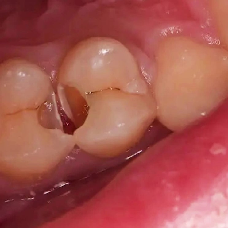
신제주충치치료 치아 사이로 많이 발견되는 검은 우식
치아가 서로 맞닿는 부위 치간 즉, 사이로 발생한 충치 평생을 써야 하는 영구치로 불리는 치아는 구강 내...