2025.02.23
출처
다낭 속 천국, 푸라마 리조트
다낭 여행 3박 4일 중 마지막 1박 2일은 푸라마 리조트에서 지냈다. 미케비치를 프라이빗하게 이용할 수 있...
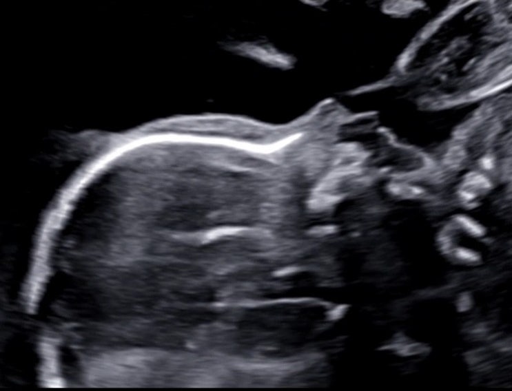
30-33주차, 입체초음파 재도전 성공!!
28주차에 시도했던 입체초음파 뿌용이 얼굴보기는 대차게 실패했다. '태어나면 얼굴보지 뭐' 라...
다낭 숙소 추천, 라이즈마운트 프리미어 리조트
한달만에 쓰는 다낭 숙소 리뷰 3박 4일의 다낭 여행 일정동안 총 2군데 리조트에서 숙박을 했다. 2박은 라...
21센추리 산업용 업소용에어컨 CHD-L600 캠핑 주방 야외 이동식 일체형/자가증발 알아봐요
21센추리 산업용 업소용에어컨 CHD-L600 캠핑 주방 야외 이동식 일체형/자가증발 ? 하단에 사진을 ...
다낭여행(aka 태교여행), 3박4일 여행비용
주변 지인들, 심지어 담당 의사 선생님까지 나에게 가장 많이 해준 말 "출산 전에 여행 많이 다녀라!&...
28주차, 입체초음파로 얼굴보기 실패!
28주차 입체초음파로 뿌용이의 얼굴을 확인하는 날. 워낙 태동이 활발한 아기어서 전혀 걱정하지 않았건만 ...
인터컨티넨탈 알펜시아 평창 리조트 & 알펜시아 트룬 컨트리 클럽 강추 후기
출산 전에 필드 한번 나가야하지 않겠냐며 또 갑작스럽게 라운딩을 다녀오게 되었다. 결혼식 때 축사한 것...
24주차, 임신당뇨&임신빈혈
21주차에 정밀초음파를 마치고 수납을 하면서 받은 당뇨검사시약!!! 와! 대망의 임당 검사구나 싶었다. 단 ...
21주차, 태동&정밀초음파
우리 뿌용이는 태동이 빠른 편이다. 18주부터 약하게 느꼈고 20주 넘어서니 남편도 느낄 수 있을 정도로 꽤...
또 홍콩여행, 구룡하버프론트호텔 추천후기
작년 10월에 다녀오고 6개월만에 다시 갔다 온 홍콩! 이번에는 엄마와 남편 이렇게 셋이서 오순도순 다녀왔...